…киста не является опухолью…
Арахноидальная киста головного мозга, являющаяся самым распространенным видом кист мозга, имеющееся у 4% населения, представляет собой наполненный ликвором (цереброспинальной, или спинномозговой жидкостью) мешочек, расположенный в арахноидальной оболочке мозга. В месте кисты ткань арахноидальной оболочки разделяется на два слоя с накоплением между ними жидкости.
Сделать МРТ головного мозга в Санкт-Петербурге
Важно помнить, что киста не является опухолью и в большинстве случаев либо протекает бессимптомно или с небольшими проявлениями и очень редко требует оперативного вмешательства.
По происхождению арахноидальные кисты могут подразделяться на:
- Первичные, образовавшиеся в период внутриутробного развития;
- Вторичные, возникшие, возникающие как следствие ранения или травмы, протекающих в мозгу воспалительных процессов или кровотечений.
По динамике развития существуют кисты:
- Прогрессирующие. Для этого типа кист характерно постепенное усиление симптомов, связанных с тем, что увеличивающаяся в объеме киста наращивает свое давление на мозг.
- Замершие. Эти образования отличаются стабильностью и обычно не доставляют беспокойств, часто протекают без симптомов и часть выявляются лишь случайно при проведении томографии мозга, вызванной другими причинами.
Диагностика и лечение
Поскольку киста считается следствием других патологий, назначается:
- анализ крови на обнаружение вирусов, инфекций и аутоиммунных патологий;
- протромбиновый индекс;
- анализ крови на количество холестерина;
- доплер сосудов мозга;
- ЭКГ;
- наблюдение за кровяным давлением.
Небольшие и средние кисты лечатся консервативно, назначаются:
- препараты, рассасывающие спайки – Лонгидаза, Карипатин;
- средства, улучшающие процессы обмена – Глиатилин, Актовегин;
- иммуномодуляторы – Тимоген, Виферон;
- антивирусные средства – Амиксин, Пирогенал.
Осложненные кисты, а также кисты большого размера, которые провоцируют острую клиническую картину, удаляют хирургическим путем. Это, как правило, эндоскопическое вмешательство – прокалывание стенки кистозного новообразования и откачивание из него жидкого содержимого. При невозможности подобной операции проводят шунтирование или микронейрохирургическую операцию.
Лечение народными средствами
Использование средств народной медицины при кисте мозга оказывает лишь поддерживающий эффект, поэтому их применяю только при бессимптомном течении патологии. Чаще всего используются:
- болиголов;
- кавказская диоскоря;
- дрожжевой эликсир.
Надо понимать, что народными методами вылечить патологию невозможно, они направлены на очищение и расширение сосудов мозга, купируют воспаление и оказывают положительное влияние на работу головного мозга.
Размеры и норма
Пациентов часто интересует вопрос о нормальных размерах кисты и объемах, при которых необходимо операционное вмешательство.
Надо сказать, что о норме можно говорить только при отсутствии кистозного новообразования, если же киста имеется, то это уже аномалия, и ее размер по сути особого значения не имеет.
Данный вид может иметь разные размеры, но очень сильно киста расти все-таки не может. Мозговая жидкость оказывает сопротивление ее росту. Если размер кисты 1-2 мм ее считают небольшой, если новообразование вырастает до 1 см, его считают средним, большими считаются кисты более 1 см.
При диагностике небольших кист врачи, как правило, лечения не назначают, а выбирают выжидательную тактику и просто наблюдают за изменениями объема новообразования. Крупные кисты лечатся операционным путем, операция также показана и при среднем размере новообразования, когда проявляется симптоматика.
Как проявляется патология?
Признаки присутствия арахноидальной кисты имеет каждый пятый ее носитель, при этом самыми частыми жалобами становятся:
- Краниалгии;
- Головокружения;
- Шум в ушах;
- Тяжесть в голове, возможны пульсирующие ощущения;
- Изменения походки.
крупная киста приводит к внутричерепной гипертензии
Спинномозговая арахноидальная киста может проявляться так же, как грыжа диска.
Гипертензионно-гидроцефальный синдром вызван нарастанием внутричерепного давления, нарушением ликворотока вследствие наличия полости между листками мозговой оболочки. Он проявляется интенсивными краниалгиями, болями в глазных яблоках, тошнотой, на высоте которой может произойти рвота, которая не принесет облегчения. Характерны судороги.
Увеличение объема кистозной полости сопровождается усилением симптоматики, головная боль становится постоянной и довольно выраженной, ей сопутствует тошнота, особенно, в утренние часы, болезненность или распирание в глазах, рвота. В запущенных случаях присоединяются расстройства слуха и зрения, двоение в глазах, парестезии и потеря чувствительности, нарушения речи, координации и неустойчивость.
При сильной компрессии проводящих путей наступает частичное обездвиживание (парез) с одной стороны тела, наблюдается снижение мышечной силы со стороны пареза, возможны расстройства чувствительности. Нередкими считаются приступы судорог и потери сознания. Реже встречаются галлюцинации, а у дете й может быть диагностирована задержка психического развития.
Ухудшение самочувствия, усиление симптомов и появление новых свидетельствуют об увеличении кистозной полости и усиливающемся сдавлении нейронов мозга. Рост образования до значительных размеров чреват его разрывом и гибелью больного.
Длительно существующая киста, постоянно давящая на мозг и вызывающая определенную симптоматику, способствует необратимым ишемически-дистрофическим повреждениям со становлением стойкого неврологического дефицита.
Особенности клиники субарахноидальных образований зависят от их месторасположения.
К примеру, арахноидальная киста височной области может проявляться не только гипертензионно-гидроцефальным синдромом, судорогами, но и характерными нарушениями двигательной и чувствительной сферы на стороне, противоположной очагу поражения.
Симптомы при сдавлении кистой височной доли могут напоминать таковые при инсульте такой же локализации, но чаще выражены слабее, ведь киста не вызывает внезапного некроза ткани мозга. Возможны гемипарезы со снижением тонуса мышц и рефлексов, расширение зрачка на стороне поражения, расстройства речи.
Симптомы арахноидальной кисты задней черепной ямки (ЗЧЯ) связаны с компрессией стволовых структур, что может проявиться расстройствами дыхания и сердечной деятельности, глотания, параличами и парезами, нарушениями походки и координации, нистагмом. При накоплении жидкости и росте образования пациент может впасть в кому с риском смерти от компрессии стволовых структур.
Сдавление мозжечка дает, прежде всего, клинику нарушений координации, моторики, походки. Пациенту сложно удерживать позу стоя, походка становится шаткой, возможны размашистые непроизвольные движения. Очень характерны для повреждения мозжечка приступы интенсивного головокружения с невозможностью удержать равновесие, тошнота, шум в голове.
У детей
У детей данное новообразование диагностируется на основании симптоматических проявлений и анамнеза ребенка.
Специалист узнает, были ли у ребенка травмы или операции в области головного мозга, болел и он менингитом, имели ли место кровоизлияния.
После этого проводится неврологический осмотр, а также назначаются КТ или МРТ.
Надо сказать, что данная патология несет опасность для ребенка. Она заключается в провокации устойчивых неврологических нарушений и эпилептических припадков.
Родители ни в коем случае не должны заниматься самостоятельным лечением ребенка, а тем более пускать заболевание на самотек. Малыша нужно срочно показать врачу, который назначит правильную схему лечения. Если клиническая картина ярко выражена, может потребоваться вмешательство хирурга.
Клиническая картина у новорожденного ребенка:
- сильная пульсация в родничковой области;
- конечности вялые;
- неориентированный взгляд.
Одним из ярких признаков кисты у новорожденного – сильное срыгивание во время кормления или после него.
Полезное видео по теме:
Прогноз и профилактика заболевания
Гемобластозы
Если диагностировать развитие арахноидальной кисты удалось на ранних стадиях, прогноз для пациентов благоприятный. Если же опухоль достигла внушительных размеров, она оказывает давление на мозговые центы, вследствие чего возможны такие осложнения как слуховые и зрительные расстройства. В запущенных случаях возможен разрыв кисты, который может повлечь летальных исход.
Определенных профилактических мер для предотвращения появления арахноидальной кисты не существует. Но для поддержания общего состояния мозга можно воспользоваться следующими советами:
- вести здоровый и активный образ жизни;
- придерживаться правильного питания;
- избавиться от вредных привычек.
Так как на ранних стадиях развития заболевание не вызывает выраженных симптомов, чтобы своевременно выявить наличие кисты и пройти соответствующее лечение, нужно регулярно проходить медицинское обследование.
Последствия и профилактические меры
Врач вправе назначить хирургическое вмешательство даже при минимальном размере кисты. Это происходит из-за наличия большой области поражения, интенсивного роста. Киста может закупоривать лимфоток, кровоток, нервные пучки. Даже кисты с параметрами 0,1-0,3 мм могут быть опасными при соответствующей локализации. Отказываться от лечения специалиста не стоит. В противном случае человек может столкнуться с последствиями:
- преобразование доброкачественной опухоли в злокачественную;
- постоянное нарушение координации;
- регулярное появление судорог;
- значительное снижение слуха и зрения;
- гидроцефалия, энцефалит.
К наиболее негативным относят инсульт и летальный исход. Поэтому важно прислушиваться к мнению специалиста. Чтобы снизить риск появления кист в голове, необходимо своевременно лечить инфекции, исключить травмы головы, исключить занятия экстремальными видами спорта, придерживаться правил здорового образа жизни.
Киста диагностируется примерно у 30% новорожденных из-за ухудшения экологии, распространения вирусных инфекций у матерей.
Медицинские специалисты рекомендуют ежегодно проходить обследование на аппарате МРТ. Так можно своевременно заметить рост кисты и заняться ее лечением. Чем позже обращаются за лечением, тем выше риск вынужденного хирургического вмешательства.
Лечение
Киста поджелудочной железы
Если образование имеет нормальный размер – лечение не применяется. Медикаментозная терапия зависит от клинической картины. Чаще всего преобладает синдром повышенного внутричерепного давления и присутствуют признаки гидроцефалии. В таком случае пациенту показаны мочегонные препараты. Они снижают уровень жидкости в организме, тем самым устраняют симптоматику водянки.
Основной способ устранить причину симптомов – операция. В каких случаях показано оперативное вмешательство:
- синдром повышенного внутричерепного давления и обусловленная им гидроцефалия;
- нарастающая дефицитарная неврологическая симптоматика;
- кисты, поражающие или смещающие соседние структуры мозга;
- нарушение ликвородинамики.
В каких случаях операцию проводить нельзя:
- тяжелые декомпенсированные состояния, сопровождающиеся нарушением жизненных функций (дыхание и сердцебиение);
- острый менингит или энцефалит.
Ход операции контролируется интраоперационной ультразвуковой диагностикой и нейронавигацией.
Варианты операции:
- Эндоскопия. В ходе операции рассекаются стенки кисты и создаются сообщения с желудочковой системой, в частности, с цистернами мозга.
- Микрохирургический метод. Сначала рассекается твердая мозговая оболочка, потом рассекаются стенки новообразования. Часть удаленного материала отправляется на лабораторное исследование.
- Ликворошунтирующий метод. Цель операции заключается в дренировании жидкости кисты в ближайшие сообщенные полости.
Вероятные послеоперационные осложнения:
- ликворрея (возможное истечение спинномозговой жидкости из раны);
- некроз операционной раны;
- расхождение швов.
После операции взрослый или ребенок должны наблюдаться у невролога, офтальмолога, нейропсихолога, педиатра и нейрофизиолога. Магнитно-резонансная и компьютерная томография должны проводится каждый год.
Не рекомендуется лечение народными средствами. Ни один рецепт народной медицины не имеет доказательной базы. Занимаясь домашним лечением больной теряет деньги и время.
Опасно ли зоболевание? Осложнения и тяжесть клинической картины зависит от типа: замершая или прогрессирующее образование. Первый вариант не опасен. Прогрессирующий объемный процесс может привести к летальному исходу.
Не нашли подходящий ответ?Найдите врача и задайте ему вопрос!
Классификация
При диагностировании патологии выявляют, какие причины её возникновения, морфологические особенности и клинические проявления. По этим показателям делят на виды и подвиды:
- первичные, врождённые – возникшие на этапе внутриутробного развития;
- вторичные, приобретённые – запущенные патологическими процессами (травмами, кровоизлияниями, инфекциями);
- простые – состоящие из клеточного церебрального экссудата;
- сложные, или ретроцеребеллярные, состоящие из тканей паутинообразной оболочки, нейронов;
- замершие – не растущие, без явных клинических признаков;
- растущие – с увеличением размеров усиливается проявление неврологических симптомов.
Загадочная шишковидная железа, а в ней – киста
Особенной разновидностью кистозных образований в головном мозге считают кисту шишковидной железы, которая нам больше известна под названием – эпифиз. Какая миссия возложена на эпифиз в организме человека – до сих пор точно не выяснено. Ученые утверждают, что она:
- Продуцирует мелатонин, который участвует в регуляции циркадных (суточных) биоритмов, чтобы человек не запутался со сном и бодрствованием;
- Вносит свою лепту в процесс полового созревания;
- Влияет на рост опухолей (где-то ускоряет, где-то замедляет).
Диагностировать кисту этой маленькой железы стало возможным благодаря появлению современных методов нейровизуализации (например, МРТ). Раньше она считалась довольно редкой патологией и в числе всех заболеваний головного мозга имела всего лишь 1,5%. Сейчас многие авторы отмечают, что ее просто не находили по причине бессимптомного течения. МРТ и в настоящее время не все и не каждый день делают, поэтому во многих случаях киста шишковидной железы регистрируется как случайная находка, а у тех, которые не жалуются и целенаправленно не обследуются и вовсе считается, что ее нет.
Доброкачественное кистозное образование шишковидной железы, располагаясь в одной из долей этого загадочного органа, как правило, вреда ему особого не причиняет, на функциональных способностях не сказывается и обычно не склонно к быстрому росту. Специфических признаков киста эпифиза, подобно другим образованиям аналогичного рода, как правило, не дает, а если и появляется симптоматика, то ее легко можно отнести к другим заболеваниям головного мозга:
- Головная боль, возникающая без причины и не имеющая системы, больной никогда не знает, когда у него заболит голова;
- Приступ цефалгии может оказаться настолько сильным, что от нее появляется тошнота, а потом и рвота;
- Возможно нарушение координации движений, что заметно отражается на походке больного;
- Реакция органов зрения на приступы особенно существенна: глаза вверх закатить больно, размытость картинки, двоение и туман мешают рассмотреть окружающие предметы.
В редких случаях киста может тоже «показать свой характер». Это происходит, когда она быстро растет и, доходя до критического размера, начинает давить на соседние участки мозга, блокировать движение цереброспинальной жидкости и проявляться симптомами гидроцефалии с вытекающими отсюда последствиями.
Почему кистозное образование начало свой путь в шишковидной железе? На сегодняшний день выделяют две основные причины его появления там:
- По различным причинам закрывается выводящий канал и блокирует движение секрета железы, который остается и формирует себе место;
- С током крови в эпифиз попадает паразит – эхинококк, который «устраивается и обживается» на новом месте, формируя себе капсулу, защищающую от нападок иммунной системы. Продукты своей жизнедеятельности паразит выделяет в пределах своего «жилища», тем самым расширяя свои владения.
«Домик» для личинок паразита
Жизненный цикл эхинококка. Паразит поражает мозг, печень легкие и другие органы человека
Эхинококк – представитель гельминтов, личинки которого, попав в организм человека, который является промежуточным хозяином, расселяются в нем, образуя кисты в различных органах. Последние чаще локализуются где-нибудь в печени или легких, доставляя неудобства в первую очередь этим участкам, однако иногда с током крови они достигают головного мозга и поселяются в нем. Нередко привлекательным местом для паразита является шишковидная железа, в которой он пережидает личиночную стадию и для этого формирует кисты. Правда, попав в человеческий организм, который для паразита является тупиковой ветвью, гельминт останавливает свое развитие из-за невозможности переселения к постоянному хозяину.
Киста эпифиза, образованная эхинококком, дает более яркую симптоматику, к клиническим проявлениям, заставляющим заподозрить кисту, присоединяются психические расстройства (депрессия, бредовые состояния, деменция) и судорожные припадки.
Диагностируют эхинококковые кистозные образования с помощью тех же методов, что и другие кисты головного мозга (КТ, МРТ, биопсия, если остаются вопросы), правда, здесь может быть полезен общий анализ крови, в котором отмечается заметное повышение эозинофилов (эозинофилия) и СОЭ.
Удаление кисты хоть эхинококковой, хоть другой природы осуществляют хирургическим путем, если в этом возникает необходимость:
- Развивается гидроцефалия;
- Страдают другие структуры мозга и сосудистое русло.
Если киста ведет себя спокойно, склонности к росту не проявляет, симптомов не дает, за пациентом осуществляют наблюдение, которое заключается в ежегодном проведении МРТ и посещении невролога.
Течение развития болезни
Доброкачественная полость, заполненная ликвором, никак не проявляет себя, если находится в латентном, спящем состоянии. Как только возникают провоцирующие причины, запускающие процесс деления и роста, опухоль начинает давить на участки мозга и человек испытывает дискомфорт. Клиническое течение болезни происходит по нарастающей. Стадии развития приведены ниже:
- Клиническая компенсация – стадия «спящей» кисты: опухоль локализуется в черепной коробке, но не проявляется.
- Субклиническая компенсация – появляются первые нарушения нейронных функций.
- Частичная клиническая декомпенсация – неврологические нарушения приобретают стойкий характер.
- Грубая клиническая декомпенсация – киста меняет место расположения, постепенно перекрывая большое отверстие на затылке мозга. У больного происходит нарушение функционирования органов и систем.
- Нарушение сердечно-сосудистой деятельности, приводящее к летальному исходу.
Каковы причины арахноидальных кист?
Точная причина арахноидальных кист неизвестна. Ученые считают, что большинство арахноидных кист вызываются нарушениями развития (разделения или разрыва) арахидной мембраны по неясной причине.
Согласно медицинской литературе, арахноидальные кисты чаще встречаются у тех детей, у родителей которых также есть арахноидальные кисты, что позволяет предположить, что некоторые люди могут иметь значительную генетическую предрасположенность к развитию арахноидальных кист.
В некоторых случаях арахноидальные кисты образуются в сочетании с недостаточным развитием некоторых частей мозга (гипоплазия) — чаще всего недостаточно развивается теменная часть головного мозга, и так как она не заполняет всего внутреннего пространства черепа, в пустом месте образуется «пустота» — арахноидная киста.
Однако существует и противоположная ситуация, в которой полноценному развитию части мозга препятствует существующая арахноидальная киста, которая вызывает давление на мозг.
Вторичные кисты
Арахноидальный кистоз приобретённого характера появляется в результате:
- Ушиба, сотрясения головного мозга, травмы вследствие:
- направленного удара головой об неподвижный предмет;
- падения на голову тяжёлого предмета;
- разрыва крупных сосудов мозга вследствие падения на ноги или ягодицы.
- Оперативных вмешательств.
- Грибковых, вирусных инфекций: менингита, серозного менингита.
Лакунарная болезнь, сопровождающаяся мелкими сосудистыми кровоизлияниями, также приводит к образованию кист.
Особенности лечения арахноидальной кисты
Лечение при замершей опухоли не требуется. Но для дальнейшего контроля над полостью с ликворным содержимым потребуется регулярная консультация невропатолога. Один раз в 12 месяцев рекомендовано проводить МРТ, чтобы вовремя определить тенденцию к росту.
С помощью консервативного лечения врач устраняет причину появления арахноидальной опухоли. Если у больного был инсульт, ему необходимо пройти реабилитационный курс. Для этого принимают препараты, улучшающие кровообращение в головном мозге. Бактериальное поражение устраняется противомикробными препаратами.
Обычно принимают лекарства для снятия неврологических симптомов.
При прогрессирующей арахноидальной кисте пациент постоянно принимает лекарства для снятия неврологических симптомов. Общая поддержка организма требует приёма витаминных комплексов и иммуномодуляторов. Для рассасывания спаек применяют рассасывающие препараты. У некоторых пациентов остановить рост опухоли удаётся с помощью консервативной терапии. Если она не даёт результата, потребуется радикальное лечение.
Существует несколько методик по устранению арахноидальной кисты. Специалисты устанавливают метод оперативного вмешательства в зависимости от типа, её размеров, индивидуальных особенностей организма и состояния пациента.
Существует несколько оперативных методик по устранению новообразования.
Консервативное лечение арахноидальной кисты головы требуется только при прогрессирующем типе образования. Лекарственные препараты назначают с целью купирования воспаления, нормализации мозгового кровообращения, восстановления поврежденных нейронов. Продолжительность курса определяется индивидуально.
- Лонгидаз, Карипатин для рассасывания спаек;
- Актовегин, Глиатилин для восстановления метаболических процессов в тканях;
- Виферон, Тимоген для нормализации иммунитета;
- Пирогенал, Амиксин – противовирусные препараты.
Лечить арахноидальное образование хирургическим путем начинают только при неэффективности консервативных методик. Существуют такие показания к проведению оперативного вмешательства:
- риск разрыва образования;
- нарушение психического состояния;
- частые судороги и эпилептические припадки;
- повышение внутричерепного давления;
- усиление очаговых симптомов.
Применяют следующие методы оперативной терапии при арахноидальных кистозных образованиях:
- Дренирование. Метод игольной аспирации позволяет эффективно удалить жидкость из ликворной опухоли левой и правой доли.
- Шунтирование. Методика предполагает дренирование образования, чтобы обеспечить отток жидкости.
- Фенестрация. Предполагает иссечение патологического образования при помощи лазера.
- Трепанация черепа. Это радикальная и эффективная процедура. Метод высоко травматичен, поэтому может приводить к развитию опасных последствий.
- Эндоскопия. Это малотравматичная методика, которая позволяет удалить содержимое кистозной полости посредством проколов.
- быстрого роста патологического процесса и сопутствующих симптомов;
- возникновения гидроцефалии;
- наличие такого симптома, как кровоизлияние;
- некроз клеток.
сайт
Кистой называют заполненную жидкостью полость в головном мозгу. Стенки арахноидальной кисты сформированы из паутинной мозговой оболочки или рубцового коллагена. Сам пузырь заполнен ликвором — цереброспинальной жидкостью.
Арахноидальная киста — доброкачественное образование, и её терапия зависит от каждого конкретного случая. Довольно часто киста не создаёт человеку никаких неудобств, и выявляется в мозгу совершенно случайно при МРТ-обследовании по другим поводам.
Возможные осложнения
Ретроцеребеллярная ликворная киста при полном отсутствии терапии может привести к развитию опасных для жизни осложнений:
- увеличение размеров опухоли, что может вызывать полную утрату зрения, снижение слуха и нарушение речи;
- гиперподвижность детей;
- общемозговой синдром, провоцирующий судороги;
- нестерпимые головные боли;
- разрыв опухоли;
- отставание ребенка в физическом и психическом развитии;
- сепсис;
- обширное мозговое кровотечение.
Причины и симптомы
Арахноидальные кисты задней черепной ямки могут быть первичными и вторичными:
Первичные — формируются в период беременности. При воздействии негативных факторов из за которых происходит расстройство развития и может начать формироваться киста задней черепной ямки у плода.
К негативным воздействиям относят:
- наличие вредных привычек у матери;
- прием медикаментов;
- несогласованных с врачом или перебой дозировки;
- облучение;
- травмирование во время родов.
- Общая слабость в конечностях.
- Набухание родничка.
- Беспокойство, плохой сон, беспричинный плач.
- Отсутствие фокусировки взгляда.
- Срыгивания фонтаном после кормления.
- Судороги.
- Дискоординация.
Вторичные — приобретенная форма является следствием серьезных воспалительных заболеваний головного и спинного мозга, заболевания Марфана. В большей степени диагностируется у взрослых.
Она развивается вследствие:
- ЧМТ;
- менингоэнцефалита;
- церебрального кровоизлияния;
- ишемического инсульта.
Симптомы в первом и во втором случае примерно одинаковы:
- Рост внутричерепного давления.
- Головные боли.
- Тошнота.
- Рвота.
- Хроническая усталость.
- Судороги.
В зависимости от размера симптоматика может нарастать:
- Нарушения координации и равновесия.
- Появление галлюцинаций.
- Ощущение тяжести в голове.
- Ощущение давления на глазные яблоки.
- Нарушения речи.
- Потеря сознания.
Необходимо обратить внимание на то, что перечисленные причины образования кисты задней черепной ямки могут простимулировать рост уже имеющегося новообразования
Выявление патологии.
Основной метод диагностики, который позволяет получить всю необходимую информацию о новообразовании – МРТ. При небольшом размере, отсутствии жалоб со стороны пациента можно не принимать никаких мер.
Обязательным является постоянное отслеживание динамики состояния – при кистозном расширении может понадобиться хирургическое вмешательство.
Применяются:
- Лабораторные исследования крови для определения уровня холестерина и свертываемости крови, определения инфекций и воспалений.
- Доплерография сосудов мозга.
- Компьютерная томография.
- Ангиографическое обследование с применением контрастного вещества. (Метод позволяет с точностью отграничить доброкачественные образования от злокачественных.)
Дополнительно исследуют работу сердца, так как одной из причин нарушения кровообращения в головном мозге могут быть патологии сердечно-сосудистой системы
также важно постоянно осуществлять контроль артериального давления
Методы терапии.
Лечение необходимо не во всех случаях обнаружения кисты зчя, однако когда наблюдается ее быстрый рост и давление на окружающие ткани головного мозга, что приводит к развитию разнообразных нарушений, могут использоваться методы медикаментозного либо хирургического лечения.
При наличии ретроцеребеллярной кисты в задней черепной ямке медикаментозное лечение включает:
- Противовирусные средства.
- Иммуномодуляторы.
- Препараты для рассасывания спаек.
- Медикаменты, направленные на улучшение кровоснабжения.
Для устранения спаек применяется Карипатин. С целью нормализации обменных процессов используют Актовегин.
При нарастающей симптоматике и увеличивающейся в размерах кисте в задней черепной ямке назначают проведение операции.
Наименее рискованным методом лечения является эндоскопия — Это малоинвазивная техника, которая подразумевает создание небольшого отверстия в черепной коробке, через которое удаляют кисту. Метод хороший, однако при труднодоступной локализации опухоли применить его невозможно.
При шунтировании — в кисту вводится специальная трубка, через которую осуществляется отток жидкости в брюшную полость. При использовании данного метода существует вероятность занесения инфекции и засорения шунта.
Трепанация — является наиболее эффективным способом, так как позволяет полностью удалить образование, независимо оттого, в какой области оно локализовано.
Берут ли в армию с кистой
Медицинская комиссия пользуется предписаниями статьи 23 Расписания болезней. Пункт «г» подробно расписывает освидетельствование призывников с врождёнными аномалиями мозга. Врождённая патология, никак себя не проявляющая, не вызывающая болей и не нарушающая функций, позволяет комиссии считать парня годным к несению службы по категории «Б-4». Он будет отдавать долг родине в определённом роде войск.
Сильное поражение нервной системы даёт право получить категорию годности «Д» или «В». Призывник получает освобождение, армия ему не светит.
Вторичный характер новообразования рассматривается по статье 25 Расписания болезней, исходя из которой присваиваются категории годности:
- «Д»: не годен к службе.
- «В»: ограничено годен, получение военного билета без несения службы, в мирное время не призывают. Получение данной категории возможно только в том случае, если человек состоит на учёте, проводит необходимые медицинские процедуры и лечение не помогает.
С кистой или без неё – жизнь продолжается. Только от ответственного отношения к ней зависит самочувствие человека. Что мешает вовремя, пару раз в год, проходить медицинский осмотр? Последствия халатности могут дорого обойтись. Время – один из главных факторов при обнаружении новообразований.
Диагностика
ПµÃÂõô ÃÂõü úðú ÿþÃÂÃÂðòøÃÂàÃÂþÃÂýÃÂù ôøðóýþ÷, ÿÃÂþòþôÃÂÃÂÃÂàþÿÃÂõôõûõýýÃÂõ øýÃÂÃÂÃÂÃÂüõýÃÂðûÃÂýÃÂõ þñÃÂûõôþòðýøÃÂ. ÃÂôýðúþ, ÿõÃÂõô ÃÂÃÂøü ò þñÃÂ÷ðÃÂõûÃÂýþü ÿþÃÂÃÂôúõ òÃÂðàôþûöõý ÃÂþñÃÂðÃÂàøýÃÂþÃÂüðÃÂøàþÃÂýþÃÂøÃÂõûÃÂýþ öðûþñ ÿðÃÂøõýÃÂð, ðýðüýõ÷ð õóþ öø÷ýø. ÃÂÃÂþüõ ÃÂþóþ, ÿÃÂø ÷ðñþûõòðýøø àÃÂõñõýúð òðöýþ òÃÂÃÂÃÂýøÃÂÃÂ, úðú ÿÃÂþÃÂõúðûð ñõÃÂõüõýýþÃÂÃÂÃÂ, ñÃÂûø ûø þÃÂûþöýõýøÃÂ.
âðúöõ ÃÂÿõÃÂøðûøÃÂàþÃÂüðÃÂÃÂøòðõàþÃÂóðýà÷ÃÂõýøàø ÃÂûÃÂÃÂ. ÃÂõ üõýõõ òðöýÃÂàÃÂþûàøóÃÂðõàýõòÃÂþûþóøÃÂõÃÂúøù ø ÃÂø÷øúðûÃÂýÃÂù þÃÂüþÃÂÃÂ. àþñÃÂ÷ðÃÂõûÃÂýþü ÿþÃÂÃÂôúõ ø÷üõÃÂÃÂõÃÂÃÂàþñÃÂõü óþûþòàø ðÃÂÃÂõÃÂøðûÃÂýþõ ôðòûõýøõ.
ÃÂðûõõ ÿÃÂøüõýÃÂÃÂÃÂÃÂàøýÃÂÃÂÃÂÃÂüõýÃÂðûÃÂýÃÂõ üõÃÂþôÃÂ.
ÃÂýóøþóÃÂðÃÂøÃÂ
ÃÂÃÂþÃÂõôÃÂÃÂð ÿÃÂþòþôøÃÂÃÂààÿÃÂøüõýõýøõü úþýÃÂÃÂðÃÂÃÂýþóþ òõÃÂõÃÂÃÂòð. ÃÂÃÂþ ÿþ÷òþûÃÂõàøÃÂúûÃÂÃÂøÃÂàÿÃÂøÃÂÃÂÃÂÃÂÃÂòøõ þ÷ûþúðÃÂõÃÂÃÂòûõýýÃÂàúûõÃÂþú. àðúþòÃÂõ þÿÃÂÃÂþûø, úðú ÿÃÂðòøûþ, ÃÂúðÿûøòðÃÂàò ÃÂõñõ úþýÃÂÃÂðÃÂÃÂ.
ÃÂýðûø÷ úÃÂþòø
ÃÂðñþÃÂðÃÂþÃÂýþõ øÃÂÃÂûõôþòðýøõ ÿÃÂþòþôøÃÂÃÂààÃÂõûÃÂàþÿÃÂõôõûõýøàøýÃÂõúÃÂøþýýþóþ ÿÃÂþÃÂõÃÂÃÂð. ÃÂÃÂþüõ ÃÂþóþ, ðýðûø÷ úÃÂþòÃÂýþù öøôúþÃÂÃÂø ýõþñÃÂþôøü ôûàòÃÂÃÂòûõýøàúþýÃÂõýÃÂÃÂðÃÂøø ÃÂþûõÃÂÃÂõÃÂøýð ò õõ ÃÂþÃÂÃÂðòõ.
ÃÂþÿÿûõÃÂþóÃÂðÃÂøÃÂ
ÃÂøðóýþÃÂÃÂøÃÂõÃÂúðàÿÃÂþÃÂõôÃÂÃÂð þÃÂõýøòðõàÃÂþÃÂÃÂôøÃÂÃÂÃÂàÿÃÂþÃÂþôøüþÃÂÃÂÃÂ.
ÃÂÃÂâ ø ãÃÂÃÂ
ãûÃÂÃÂÃÂð÷òÃÂúþòþõ øÃÂÃÂûõôþòðýøõ ø ÃÂûõúÃÂÃÂþúðÃÂôøþóÃÂðüüð ÃÂõÃÂôÃÂð ýõþñÃÂþôøüàôûàòÃÂÃÂòûõýøàÃÂð÷òøÃÂøàÃÂõÃÂôõÃÂýþù ýõôþÃÂÃÂðÃÂþÃÂýþÃÂÃÂø. ÃÂþÃÂúþûÃÂúàøüõýýþ ýð ÃÂþýõ ÃÂÃÂþù ÿðÃÂþûþóøø ÃÂðÃÂÃÂþ ýðñûÃÂôðõÃÂÃÂàýðÃÂÃÂÃÂõýøõ úÃÂþòþþñÃÂðÃÂõýøÃÂ.
Причины
К¾Ã³Ã´Ã° ðÃÂðÃÂýþøôðûÃÂýðàúøÃÂÃÂð øüõõàòÃÂþöôõýýÃÂàÃÂþÃÂüÃÂ, ÃÂÃÂþ üþöõàþñÃÂÃÂÃÂýÃÂÃÂÃÂÃÂàýõÃÂúþûÃÂúøüø ÿÃÂøÃÂøýðüø:
- øýÃÂøÃÂøÃÂþòðýøõü òþ òýÃÂÃÂÃÂøÃÂÃÂÃÂþñýþü ÃÂð÷òøÃÂøø ýð ÃÂþýõ óõÃÂÿõÃÂòøÃÂÃÂÃÂð, úÃÂðÃÂýÃÂÃÂø, ÃÂþúÃÂþÿûð÷üþ÷ð ø ôÃÂÃÂóøÃÂ;
- ÿÃÂþÃÂòûõýøÃÂüø øýÃÂþúÃÂøúðÃÂøø ò ÿõÃÂøþô òÃÂýðÃÂøòðýøàÃÂõñõýúð (þÃÂþñÃÂàþÿðÃÂýþÃÂÃÂàÿÃÂõôÃÂÃÂðòûÃÂõàúÃÂÃÂõýøõ, ÃÂÿþÃÂÃÂõñûõýøõ ÃÂÿøÃÂÃÂýÃÂàýðÿøÃÂúþò, ûõÃÂõýøõ ýõúþÃÂþÃÂÃÂüø üõôøúðüõýÃÂþ÷ýÃÂüø ÃÂÃÂõôÃÂÃÂòðüø, ôõùÃÂÃÂòøõ úþÃÂþÃÂÃÂàþñûðôðõàÃÂõÃÂðÃÂþóõýýÃÂü ÃÂÃÂÃÂõúÃÂþü);
- ÿþôòõÃÂóðýøõü þÃÂóðýø÷üð ÿõÃÂõóÃÂõòàòþ òÃÂõüàñõÃÂõüõýýþÃÂÃÂø (ÃÂÿõÃÂøðûøÃÂÃÂàÃÂõúþüõýôÃÂÃÂàýð ôðýýÃÂù ÿõÃÂøþô ýõ ÿþÃÂõÃÂðÃÂàÃÂðÃÂýàø ñðýÃÂ, ýõ ÿÃÂõñÃÂòðÃÂàÿþô ÿÃÂÃÂüÃÂüø ÃÂþûýõÃÂýÃÂüø ûÃÂÃÂðüø, ð ÃÂðúöõ ýõ ÿþûÃÂ÷þòðÃÂÃÂÃÂàóþÃÂÃÂÃÂøüø òðýýðüø);
- òþ÷ôõùÃÂÃÂòøõü ÃÂðôøðÃÂøþýýþóþ þñûÃÂÃÂõýøÃÂ;
- ÃÂð÷òøÃÂøõü ÃÂøýôÃÂþüð ÃÂðÃÂÃÂðýð, ð ÃÂðúöõ óøÿþóõýõ÷øõù üþûþ÷øÃÂÃÂþóþ ÃÂõûð.
ÃÂøÃÂÃÂþ÷ýÃÂõ ýþòþþñÃÂð÷þòðýøàðÃÂðÃÂýþøôðûÃÂýþù ÃÂþÃÂüàüþóÃÂàÃÂÃÂþÃÂüøÃÂþòðÃÂÃÂÃÂàýð ÿÃÂþÃÂÃÂöõýøø öø÷ýø ÃÂõûþòõúð òýõ ÷ðòøÃÂøüþÃÂÃÂø þàõóþ òþ÷ÃÂðÃÂÃÂð.
àÃÂÃÂþü ÃÂûÃÂÃÂðõ ÃÂÃÂõôø þÃÂýþòýÃÂàÿÃÂþòþÃÂøÃÂÃÂÃÂÃÂøàÃÂðúÃÂþÃÂþò ÃÂÿõÃÂøðûøÃÂÃÂàòÃÂôõûÃÂÃÂÃÂ:
- ÃÂÃÂðòüøÃÂþòðýøõ óþûþòÃÂ;
- þÿõÃÂðÃÂøòýÃÂõ òüõÃÂðÃÂõûÃÂÃÂÃÂòð ýð óþûþòýþü üþ÷óõ ò ðýðüýõ÷õ;
- úÃÂþòþø÷ûøÃÂýøÃÂ;
- ÿõÃÂõýõÃÂõýøõ ÃÂð÷ûøÃÂýÃÂàøýÃÂõúÃÂøþýýÃÂàÿðÃÂþûþóøù (üõýøýóþÃÂýÃÂõÃÂðûøÃÂð, òþÃÂÿðûøÃÂõûÃÂýÃÂàÿÃÂþÃÂõÃÂÃÂþò. ÃÂÃÂðÃÂýþøôøÃÂð).
àòøÃÂþÃÂýþù þñûðÃÂÃÂø þÿÃÂÃÂþûõòÃÂõ ýðÃÂþÃÂÃÂàüþóÃÂàÿþÃÂòûÃÂÃÂÃÂÃÂàò ÃÂõ÷ÃÂûÃÂÃÂðÃÂõ þñÃÂð÷þòðòÃÂõùÃÂàóõüðÃÂþüÃÂ.
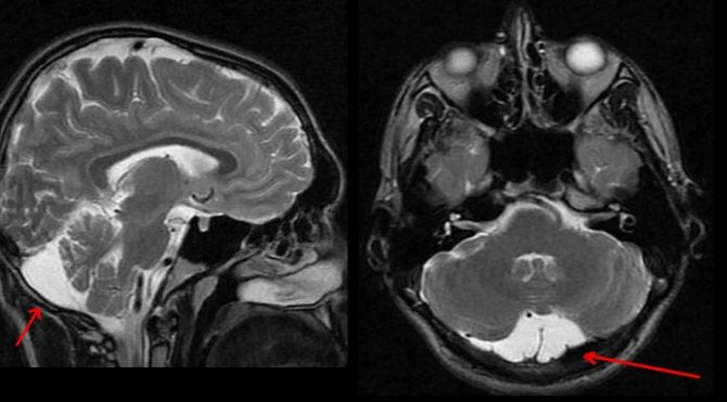
Арахноидальная киста головного мозга
…киста не является опухолью…
Арахноидальная киста головного мозга, являющаяся самым распространенным видом кист мозга, имеющееся у 4% населения, представляет собой наполненный ликвором (цереброспинальной, или спинномозговой жидкостью) мешочек, расположенный в арахноидальной оболочке мозга. В месте кисты ткань арахноидальной оболочки разделяется на два слоя с накоплением между ними жидкости.
Сделать МРТ головного мозга в Санкт-Петербурге
Важно помнить, что киста не является опухолью и в большинстве случаев либо протекает бессимптомно или с небольшими проявлениями и очень редко требует оперативного вмешательства
По происхождению арахноидальные кисты могут подразделяться на:
- Первичные, образовавшиеся в период внутриутробного развития;
- Вторичные, возникшие, возникающие как следствие ранения или травмы, протекающих в мозгу воспалительных процессов или кровотечений.
По динамике развития существуют кисты:
- Прогрессирующие. Для этого типа кист характерно постепенное усиление симптомов, связанных с тем, что увеличивающаяся в объеме киста наращивает свое давление на мозг.
- Замершие. Эти образования отличаются стабильностью и обычно не доставляют беспокойств, часто протекают без симптомов и часть выявляются лишь случайно при проведении томографии мозга, вызванной другими причинами.
В зависимости от места расположения и размеров кисты могут проявляться один или несколько симптомов:
- Головная боль;
- Тошнота и рвота;
- Вялость, в том числе чрезмерная усталость или нидостаток энергии;
- Приступы;
- Задержки развития;
- Гидроцефалия, вызванная нарушением естественной циркуляции спинномозговой жидкости;
- Проблемы со стороны эндокринной системы, например, ранее начало полового созревания;
- Непроизвольная тряска головой;
- Проблемы со зрением.
Чем больше киста, тем больше симптомов будет проявляться, будет возрастать их частота и сила. При длительном и сильном сдавливании может привести к необратимым изменениям тканей мозга. При чрезмерной компрессии и разрыве оболочек кисты возможно наступление смерти пациента.
Диагностика и лечение арахноидальной кисты
Кисты, протекающие без каких бы то ни было проявлений, могут быть выявлены только случайно. В случае наличия неврологических проявлений врач в первую очередь анализирует жалобы больного.
Однако проявления могут говорить только о том, что существуют какие-то сбои в работе головного мозга, но не позволяют классифицировать проблему. Гематомы, опухоли мозга, расположенные внутри мозга кисты имеют такую же симптоматику.
Для более точной постановки диагноза врач может назначить электроэнцефалографию, эхоэнцефалографию или реоэнцефалографию. Недостатком этих методов является то, что они не дают информации ни о точном местоположении образования, ни о его природе.
Главной целью любого лечения арахноидальной кисты является отвод жидкости и снижение давления на ткани мозга.
На сегодняшний день наиболее точным методом диагностики, позволяющим с высокой степенью точности отличить арахноидальную кисту от опухоли или гематомы, являются компьютерная томография (КТ) и магнито-резонансная томография (МРТ).
Это может быть достигнуто разными методами, включающими:
- Шунтирование. При этом методе хирург устанавливает в кисту трубку (шунт) по которому жидкость отводится в другие части организма (например, брюшную полость), где она всасывается другими тканями.
- Фенестрация. В этом случае в черепе пациента и стенках кисты создаются отверстия для дренирования и обеспечения нормального потока спинномозговой жидкости.
- Игольная аспирация и соединение при помощи отверстий внутренней части кисты с субарахноидальным пространством для отвода в него жидкости.
Несмотря на то, что КТ позволяет точно определить размеры и расположение кисты, наиболее точную и полную информацию об образовании дает МРТ. Обычно для диагностики арахноидальной кисты проводится МРТ-сканирование с введением в кровоток пациента контраста.
При этом опухоли мозга имеют свойство накапливать контраст, а кисты не впитывают его из кровеносных сосудов, что очень четко видно на МРТ.
Также МРТ-сканирование позволяет отличить кисту от кровоизлияний, гематом, гигром, абсцессов и других заболеваний со сходной симптоматикой. Кроме того, МРТ дает возможность выявить кисту даже в тех случаях, когда у пациента еще нет никаких проявлений, а сама киста имеет размеры всего в несколько миллиметров.
Этиология
Ретроцеребеллярная арахноидальная киста головного мозга относится к категории редких патологий, поскольку диагностируется лишь у 5 % населения. Основная опасность заключается в том, опухоль на протяжении довольно длительного промежутка времени может протекать совершенно бессимптомно, а диагноз ставят лишь в единичных случаях.
Наиболее часто к болезни приводят:
- аномалия внутриутробного развития плода;
- воспалительное поражение головного мозга;
- высокое внутричерепное давление;
- частые травмы и механические повреждения головы;
- перенесенный ранее инсульт;
- хирургическое вмешательство на головном мозге;
- внутримозговые кровоизлияния;
- протекание инфекций, негативно влияющих на ЦНС, — энцефалит и менингит;
- ишемическая болезнь головного мозга;
- многолетнее пристрастие к вредным привычкам;
- длительное влияние неблагоприятных условий окружающей среды;
- осложненное протекание беременности или родовой деятельности;
- рассеянный склероз;
- недостаточное поступление кислорода к тканям мозга;
- формирование кисты гипофиза или образования, состоящего из сосудистых сплетений;
- дегенеративные изменения головного мозга.
Не последнее место среди причин занимает генетическая предрасположенность, наличие синдрома Марфана или отсутствие перегородок в мозгу. Такие отклонения повышают вероятность формирования новообразования.
Спровоцировать активный рост опухоли могут:
- аутоиммунные процессы;
- хронические патологии со стороны сердца;
- нейроинфекции.
