– это болезнь, которая передается половым путем. Ее провоцирует вирус простого (сокращенно ВПГ).
Существует два типа вируса простого герпеса. При заражении первым типом ВПГ у человека, как правило, инфицируется полость рта либо проявляется герпетическая лихорадка
на лице (так называемый оральный герпес
). При поражении вирусом второго типа происходит инфицирование области гениталий (так называемый генитальный герпес
). Но и первый, и второй тип вируса могут спровоцировать развитие и генитальной, и оральной инфекции.
В основном вирусы герпеса пребывают в неактивном состоянии, следовательно, выраженных симптомов заболевания у человека не наблюдается. Но иногда у больных, зараженных такими вирусами, происходят вспышки болезни, что выражается проявлением язв либо . Если человек заразился ВПГ, то инфекция будет периодически проявляться на протяжении всей его жизни.
Распространение генитального герпеса
Оба типа вируса простого герпеса распространяются контактным путем. Заразиться можно в процессе поцелуя, при разных видах сексуальных контактов либо в процессе непосредственного контакта «кожа к коже». Так как вирус, провоцирующий возникновение генитального герпеса, также приводит к высыпаниям на губах, то заражение может произойти после контакта губ и гениталий. Заражение вирусом происходит, когда он попадает в организм сквозь слизистые оболочки, повреждения на коже. При этом даже микроскопических травм достаточно для того, чтоб вирус проник в организм.
Герпес генитальный передается вне зависимости от того, есть ли у инфицированного человека язвы, волдыри либо другие симптомы болезни. Очень часто такая инфекция может перейти от человека, который даже не знает о том, что он заражен вирусом. Наиболее высокий шанс заразиться вирусом простого герпеса — от человека, у которого на теле есть пузырьки либо язвы, возникающие и при первичном, и при повторном проявлении генитального герпеса. Но даже люди, явные признаки герпеса у которых отсутствуют, могут оставаться заразными на протяжении одной недели до начала заболевания и такого же периода после исчезновения его симптомов.
Передача генитального герпеса происходит в большинстве случаев половым путем
. В то же время бытовым путем
– например, через вещи, касающиеся личной гигиены, генитальный герпес передается очень редко. Кроме того, отмечается наличие инокуляционного пути
заражения вирусом: в таком случае человек самостоятельно переносит вирус из очага его появления в другие места. Таким методом вирус может попасть с кожи лица на кожу половых органов.
В настоящее время генитальный герпес – это достаточвно распространенное среди населения заболевание. Доказано, что вирус простого герпеса второго типа более часто встречается у женщин. Существует также медицинская статистика, свидетельствующая о том, что этим типом вируса заражена примерно каждая четвертая женщина и каждый пятый представитель сильного пола. Возможно, такая ситуация складывается ввиду того, что более результативной является передача вируса от мужчины к женщине. Намного чаще ВПГ-2 обнаруживается у чернокожих людей.
Симптомы генитального герпеса
Настораживает тот факт, что при заражении ВПГ второго типа у многих людей проявляются только очень незначительный симптомы, либо таковых проявлений может не быть вообще. Однако симптомы генитального герпеса у взрослых людей выражаются появлением на половых органах достаточно болезненных язв. Если заболевание проявляется у человека, иммунная система которого подавлена, то недуг может протекать очень тяжело. Кроме физических проявлений, генитальный герпес у мужчин и женщин, знающих о наличии инфекции, часто вызывает ощутимый психологический дискомфорт.
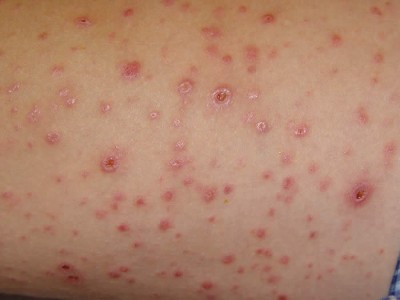
Проявление симптомов генитального герпеса в первое время герпетической активности может выражаться очень резко. Как правило, проявление первичного эпизода имеет место не позже, чем через две недели поле того, как вирус попал в организм. При генитальном герпесе проявляются типичные высыпания: единичные пузырьки либо их группы возникают в области половых губ, на клиторе, лобке, ягодицах, крестце. Существует определенный цикл развития таких высыпаний: изначально возникает гиперемия, далее появляется пузырек, переходящий в язвочку. На последней стадии развития образуется корочка, которая потом отпадает. Все эти этапы занимают от семи до десяти дней. Если высыпания не исчезают за это время и описанная динамика отсутствует, то в этом случае надо говорить уже не о генитальном герпесе, а о другой инфекции, например, стафилококковой
. Очень редко при генитальном герпесе возникают высыпания на шейке матки и слизистых оболочках влагалища: такие симптомы генитального герпеса – скорее, исключение.
Кроме появления язв симптомы генитального герпеса могут выражаться возникновением повторных высыпаний. При этом некоторое время симптомы могут быть сходны с проявлением грибка
. Может возрастать температура тела, опухают гланды
. Часть людей, которые заразились этой инфекцией, вообще не отмечают признаков генитального герпеса. Иногда могут появляться небольшие пятна, которые воспринимаются больным как укусы насекомых либо сыпь, которая очень быстро проходит.
Если у человека проявился первичный эпизод генитального герпеса, то, как правило, на протяжении года, будут возникать рецидивы недуга. Они могут повторяться около 4-5 раз. Но наиболее заметными они являются на протяжении первых месяцев со времени заражения.
Существуют некоторые особенности клинической картины данного недуга. Если заражение произошло половым путем, и при этом в организм человека попадает вирус ВПГ второго типа
, то симптомы заболевания не проявляются примерно в 90% случаев. Следовательно, первые явные симптомы генитального герпеса свидетельствуют уже о рецидиве хронической инфекции, а не о болезни после недавнего заражения.
Выделяют ряд факторов, которые могут спровоцировать проявление генитального герпеса у женщин и мужчин. Прежде всего, это сексуальный контакт, а также эмоциональные , переохлаждение, заболевание , и , хирургические операции, частое употребление алкоголя и другие факторы. Генитальный герпес у женщины может возникнуть во время или после менструации.
Диагностика генитального герпеса
Так как генитальный герпес может вызывать появление разных признаков заболевания у разных больных, диагностика болезни основывается не только не визуальном осмотре, но и на лабораторных анализах ранее взятых соскобов с высыпаний. Лабораторная диагностика генитального герпеса проводится также путем исследования любого биологического материала на предмет наличия вируса герпеса.
Чтобы определить уровень угрозы для плода во время , а также назначить при необходимости адекватное лечение, проводится специальное исследование крови беременной женщины, а при необходимости исследуются околоплодные воды.
Лечение генитального герпеса
Следует уяснить, что средства, которое стопроцентно излечивает от генитального герпеса, до сегодняшнего дня не существует. Поэтому лечение генитального герпеса состоит в назначении препаратов, имеющих противовирусное воздействие. Они способствуют заметному сокращению длительности активной фазы болезни, а также предотвращают развитие недуга на тот период, пока проводится лечение противовирусными средствами.
Решение о том, как лечить генитальный герпес в каждом конкретном случае, должен принимать только специалист. Ситуативную терапию генитального герпеса во время появления высыпаний проводят с помощью специфических противовирусных препаратов, имеющих как местное, так и общее системное воздействие. В таких лекарственных препаратах главное действующее вещество – это и его аналоги. При проявлении генитального герпеса чаще всего назначаются три вида препаратов: Ацикловир
(), (), (). Все эти препараты назначаются в виде таблеток. Но если течение болезни очень тяжелое, то возможен прием ацикловира внутривенно.
Кроме того, комплексное лечение иногда предполагает применение , чтобы повысить общий неспецифический иммунитет. Но такие препараты оказывают довольно незначительный эффект, так как общий у большинства пациентов с генитальным герпесом не страдает. Необходимо проводить терапию, направленную на повышение специфического иммунитета организма против вируса простого герпеса. Для этого применяется последовательная пассивная иммунизация (для этой цели используется герпебин
либо другой против вируса простого герпеса), а также специфическая активная иммунизация с использованием герпетической .
Следует помнить о том, что ацикловир и его производные категорически нельзя принимать тем женщинам, которые планируют беременность, а также лечитьзаболевание с их использованием в первом триместре вынашивания малыша. Эти препараты могут спровоцировать развитие пороков у плода во время внутриутробного развития.
Фармакологическая терапия не может полностью излечить герпес половых органов, но переносить этот недуг при приеме лекарственных средств больные будут намного легче.
При лечении генитального герпеса иногда используются также мази, однако их воздействие выражено очень слабо. Поэтому врачи, как правило, таких средств не назначают.
При обнаружении симптомов генитального герпеса впервые, как правило, назначается курс антивирусной терапии длительностью до 10 дней. Если после прекращения курса лечения высыпания все же не исчезают, то возможно продление медикаментозной терапии.
Еще один вариант терапии — эпизодическое лечение
. В данном случае человеку, который страдает генитальным герпесом, врач назначает определенное антивирусное средство, которое больной использует сразу же, когда наблюдается вспышка болезни. Следовательно, если больной обнаружил пузырьки или язвы, то такой препарат следует принимать несколько дней (от двух до пяти). В таком случае язвы заживут значительно быстрее.
В некоторых случаях целесообразно применение так называемого
супрессивного лечения
. Речь идет о ежедневном приеме антивирусного средства теми больными, которые отмечают очень частые вспышки генитального герпеса. Те люди, которые страдают от рецидивов болезни, проявляющихся более шести раз в год, при регулярном приеме такого средства могут уменьшить количество рецидивов герпеса на 80%. Многие пациенты, каждый день принимающие антивирусные препараты, отмечают, что вспышек герпеса вообще не происходит. Решение о необходимости супрессивного лечения принимает врач, руководствуясь информацией о частоте и тяжести рецидивов недуга у больного.
Кроме лечебного эффекта каждодневный прием препаратов с антивирусным эффектом обеспечивает снижение риска инфицирования полового партнера больного генитальным герпесом. Специалисты утверждают, что длительное лечение средствами, обладающими противовирусным эффектом, не имеет серьезных противопоказаний и является безопасным для человека.
Однако те люди, которым было назначено супрессивное лечение, по крайней мере, один раз в год приходят на прием врача, который вместе с пациентом принимает решение о том, нужно ли продолжать такое лечение и дальше.
Иногда при вспышке герпеса необходимо применить некоторые меры самостоятельной домашней помощи, чтобы облегчить значительный дискомфорт от высыпаний. Перед тем, как обратиться к доктору, возможен прием препаратов с обезболивающим эффектом, которые отпускаются без рецепта: , . Следует постоянно держать пораженные заболеванием места сухими. Если вытирать полотенцем после мытья их некомфортно, то в таком случае можно использовать фен для волос. Рекомендуется носить белье, сделанное из натуральных тканей, например, из хлопка. Натуральные ткани обеспечивают поглощение влаги и способствуют облегчению общего состояния.
Генитальный герпес и беременность.
Очень опасно заражение вирусом простого герпеса второго типа для беременных женщин. Если при вирус пребывает в активной фазе, то появляется очень высокий риск заражения новорожденного, что может привести даже к летальному исходу. Поэтому при подобной ситуации врачи прибегают к проведению. Если роды совпали с рецидивом герпеса у матери, то шансы заразить малыша значительно снижаются.
Если женщина планирует в ближайшем будущем забеременеть, то она должна пройти обследование на наличие вируса герпеса в организме. В то же время муж женщины, которая планирует беременность, не нуждается в обследовании и лечении в том случае, если они не страдают генитальным герпесом. Вирус мужчины, пребывающий в латентной стадии, плоду не угрожает.
Беременной женщине следует знать и о том, что какой бы метод лечения герпеса половых органов не практиковался до зачатия ребенка, это не гарантирует, что в процессе вынашивания ребенка не появятся высыпания. Дело в том, что период беременности – это особенно тяжелое физиологическое состояние в жизни женщины. Поэтому вспышки генитального герпеса у беременных возникают достаточно часто. Но если диагностика и последующее лечение генитального герпеса производится правильно, то каждая женщина может в итоге иметь здорового малыша.
Профилактика генитального герпеса
Для качественной профилактики вероятного заражения генитальным герпесом во многих странах были разработаны и применены самые разные вакцины, защищающие человека от герпеса. Использование тех вакцин, которые уже существуют, производится по определенной схеме. Но до сегодняшнего дня продолжаются разработки вакцин, которые надежно защищали бы человека от заражения герпетической инфекцией.
Больному генитальным герпесом не нужно жить половой жизнью до того времени, пока все клинические проявления болезни не исчезнут. Если сексуальный контакт все же происходит, то в обязательном порядке во время него следует применять презерватив. Важно также обследование всех людей, имевших половые контакты с зараженным герпесом больным. Правильное применение презервативов при всех без исключения половых контактах позволяет обеспечить определенный уровень защиты от заражения вирусом. Однако герпетические язвы не всегда находятся только на местах, защищенных презервативом. Поэтому передача вируса все равно может произойти. Следовательно, если половой партнер человека болен генитальным герпесом, следует полностью исключить сексуальные контакты на период присутствия видимых признаков болезни, а вне активных фаз инфекции следует обязательно использовать презерватив.
Диета, питание при генитальном герпесе
Список источников
- Исаков В.А., Архипова Е.И., Исаков Д.В. Герпесвирусные инфекции человека: руководство для врачей. — СПб.: СпецЛит., 2006;
- Кисина В.Н., Забиров К.И. Урогенитальные инфекции у женщин. Клиника, диагностика, лечение.МИА,М., 2005;
- Кунгуров Н.В., Герасимова Н.М., Зудин А.Б., Кузовкова Т.В. Генитальный герпес. — Екатеринбург: Изд-во Уральск. ун-та, 2001;
- Клиника, лечение и лабораторная диагностика герпесвирусных заболеваний человека: Руководство для врачей/ Нестеренко В.Г., Бехало В.А., Ловенецкий А.Н. — М., 1998.
Генитальный герпес в наше время является распространенным вирусным заболеванием, которое . Статистика утверждает, что 90 % населения планеты являются носителями ВПГ, а 20 % из них имеют клинические симптомы.
Презерватив не сможет защитить вас от генитального герпеса
Причиной возникновения этого распространенного недуга является заражение вирусом герпеса, которое происходит половым путем. Вызывается двумя типами вирусов простого герпеса: ВПГ первого типа и ВПГ второго типа. В 80 % случаев возбудителем болезни является вирус простого герпеса второго типа. Остальные 20 % заболеваемости связывают с ВПГ первого типа, который чаще всего вызывает высыпания на губах.
При попадании в организм здорового человека вирус внедряется в нервные клетки и встраивается в их генетический аппарат, оставаясь в организме на всю жизнь. По статистическим данным уровень зараженности герпесом всех живущих на планете людей составляет 90 %.
Здоровый иммунитет вырабатывает специальные антитела и подавляет клинические проявления заболевания. Большинство инфицированных людей могут прожить без проявления симптомов всю жизнь, являясь носителями и заражая других людей.
Активизация вируса происходит при возникновении следующих факторов риска:
- дефицит витаминов;
- снижение иммунитета;
- нагрузки на нервную систему;
- нарушение режима работы и отдыха;
- наличие заболеваний, передающихся половым путем;
- беременность.
Наличие вышеперечисленных факторов способно вызвать активную фазу, которая проявится своей симптоматикой.
Пути передачи
путь передачи
Лечение основывается на . Главная задача заключается в уменьшении неприятных проявлений заболевания. Лечить генитальный герпес в домашних условиях можно только под наблюдением врача.
Успешность терапии проявляется в зависимости от фазы заболевания. Рассуждая о том, как быстро вылечить генитальный герпес и избавиться от сопутствующих симптомов, необходимо понимать, что более раннее лечение приведет к скорому выздоровлению.
При возникновении рецидивов свыше 5 раз за год, необходима специальная профилактическая терапия. Это длительное мероприятие, которое существенно поддержит иммунитет и снизит частоту рецидивов.
Проводится очень осторожно во избежание нанесения вреда плоду. Применяется более щадящая терапия, которую строго контролирует лечащий врач.
Лекарства
Основные препараты, используемые в традиционной медицине при лечении генитального герпеса:
- Ацикловир;
- Фамцикловир;
- Пенцикловир;
- Валацикловир.
Производятся в разнообразных формах выпуска, таких как, мази, инъекции, крема. принимается внутрь до 5 раз в сутки в течение 7 – 10 дней. При использовании лекарственного препарата Фамцикловир реже встречаются такие побочные эффекты, как головные боли и аллергические реакции.
Препараты интерферона, к которым относятся Арбидол и Амиксин, ускоряют выздоровление и удлиняют период между рецидивами. Не менее важным в стимулировании работы иммунитета является соблюдение здорового образа жизни и позитивный психологический фон пациента.
Для избавления от кожных высыпаний используются мази, которые наносятся на пораженные участки 5-6 раз в день. К примеру, хорошо зарекомендовавшим себя средством является мазь Полудон.
Как правило, врач назначается комплекс лечебных мер, состоящий из таблеток и мазей.
Важным дополнением является прием витаминных комплексов, таких как Витрум, Компливит и другие.
Безусловно, в лечении такого коварного недуга необходим фармакологический подход с применением конкретно направленных препаратов. Однако применение ванн с эфирными маслами лимона или чайного дерева не только не возбраняется медициной, а даже считается полезным в облегчении симптомов заболевания.
При всем многообразии эффективных средств инфицированному человеку следует помнить, что лечение может назначать только врач.
Когда нужно прибегать к лечению и к какому врачу обратиться?
Диагноз «генитальный герпес» производится врачом на основе осмотра, так как очевидны. При обнаружении сопутствующих симптомов необходимо немедленно обратиться к доктору. Диагностикой и лечением данного заболевания занимаются врачи узкой специализации:
- дерматовенеролог;
- гинеколог;
- уролог.
При стертой симптоматике и инфекционных процессах врач назначает лабораторные исследования. Но такая диагностика редко выявляет активность заболевания и длительность инфицирования ввиду широкой распространенности среди населения. Поэтому для точной диагностики проводится ряд мероприятий:
- 1.Выявить характер высыпаний на слизистых оболочках половых органов;
- 2.Наличие в анамнезе герпетической сыпи;
- 3.Состояние иммунной системы;
- 4.Результаты анализов – ПЦР, антитела к вирусу герпеса первого и второго типов.
Только специалист сможет выявить заболевание и назначить соответствующее лечение.
При своевременном обнаружении генитального герпеса на начальной стадии, существует вероятность его излечения с помощью современных эффективных средств фармацевтики. При запущенных формах требуется поддержание иммунитета и лекарственная терапия для смягчения симптомов. Для профилактики же инфицирования необходимо применять средства индивидуальной защиты и тщательно соблюдать гигиену.
Кто сказал, что вылечить герпес тяжело?
- Вас мучает зуд и жжение в местах высыпаний?
- Вид волдырей отнюдь не добавляет Вам уверенности в себе…
- И как-то стыдно, особенно если Вы страдаете генитальным герпесом…
- А мази и лекарства, рекомендованные врачами почему-то не эффективны в Вашем случае…
- К тому же, постоянные рецидивы уже прочно вошли в Вашу жизнь…
- И сейчас Вы готовы воспользоваться любой возможностью, которая поможет Вам избавиться от герпеса!
Эффективное средство от герпеса существует. и узнайте как Елена Макаренко вылечила себя от генитального герпеса за 3 дня!
Герпес – это инфекционная болезнь, вызванная одноименным вирусом. Попадая в организм, он встраивается внутрь клеток из-за чего обычная иммунная защита ослабевает. При определенных обстоятельствах и резком снижении иммунитета проявляется генитальный герпес, лечение которого вызывает затруднения.
В настоящее время известно о наличии 8 типов этого вируса (ВПГ). Возбудители генитальной формы – ВПГ-2 (80% случаев) и ВПГ-1.
В период отсутствия клинических проявлений носители вируса не способны заразить своих партнеров.
Болезнь чаще передается при половом контакте как обычном, так и во время анального секса. В редких случаях инфицирование происходит через предметы личной гигиены.
Генитальным герпесом можно заразиться от партнера с герпетическими высыпаниями в области рта, поскольку при оральном контакте с половыми органами инфекция попадает с губ на гениталии.
Факторы риска, повышающие шанс заражения этим заболеванием:
- Нарушение работы иммунитета вследствие болезней, стрессовых ситуаций или приема лекарственных препаратов.
- Мелкие повреждения слизистой и кожных покровов.
- Одновременное наличие нескольких половых партнеров.
- Занятие сексом без презерватива.
Характерные симптомы
Симптомы и лечение генитального герпеса имеют свои особенности. При первичном заражении ВПЧ-2 болезнь в 90% случаев протекает в скрытой форме. Поэтому первый эпизод герпеса, по сути, является рецидивом.
Спровоцировать его может половой контакт, стрессовая ситуация, инфекционное заболевание, переохлаждение, злоупотребление алкогольными напитками, а также оперативные вмешательства под общим или местным наркозом.
При генитальном герпесе у представительниц слабого пола сыпь локализуется:
- возле наружного отверстия уретры;
- в преддверии влагалища и на половых губах;
- на шейке матки;
- возле анального отверстия или в области ягодиц.
У мужчин при обострении герпеса сыпь располагается на коже или слизистых оболочках:
- мошонки;
- вокруг анального отверстия или на бедрах;
- на головке или крайней плоти полового члена.
При первичном заражении герпесом инкубационный период составляет до 8 дней. Затем, появляются следующие симптомы:
- зуд, покраснение и жжение в области гениталий;
- на коже или слизистой оболочке образуются небольшие пузырьки, заполненные мутной жидкостью;
- лопнувшие пузырьки трансформируются в мелкие эрозии или язвы, покрытые коркой;
- ощущение зуда и покалывания во время мочеиспускания;
- при поражении шейки матки слизистая становится гиперемированной, эрозивной, с гнойным отделяемым;
- лимфатические узлы в паху увеличиваются.
Иногда возникает общая слабость, недомогание. Чтобы симптомы заболевания полностью исчезли может понадобиться до 30 дней. Эффективное лечение генитального герпеса сокращает этот период.
При вторичном заражении болезнь проявляется аналогичными симптомами. Однажды попав в организм человека, вирус превращает его в носителя заболевания. В этом случае, периоды ремиссии сменяются обострениями.
Вирус герпеса обитает в спинномозговых нервных узлах, а не на слизистых оболочках и коже, поэтому перед появлением высыпаний возникают симптомы-предвестники в виде тянущей боли по ходу нервных узлов, зуда и жжения в области появления сыпи.
Заметили неприятные симптомы, но не знаете, какой врач лечит генитальный герпес? При наличии признаков этого заболевания женщинам необходимо обращаться к гинекологу, а мужчинам к урологу или андрологу.
Полученный от партнера вирус не всегда приводит к высыпаниям, решающую роль в этом играет состояние иммунной системы.
Диагностика заболевания
В зависимости от состояния иммунитета существуют три типа рецидивирующего течения болезни: аритмичный, монотонный и стихающий.
При атипичном генитальном герпесе его симптомы маскируются под другие заболевания, а при бессимптомном течении недуг можно распознать только с помощью специальных анализов.
Чтобы правильно диагностировать заболевание и узнать, как вылечить генитальный герпес, необходимо обратиться к специалисту. Помимо сбора анамнеза, проводится ряд лабораторных анализов, позволяющих определить тип герпеса.
Для вирусологического исследования берут содержимое пузырьков и помещают в специальную среду, где происходит размножение возбудителя заболевания. Этот метод не слишком точен, поэтому его результаты нередко ставят под сомнение.
Более достоверную информацию дает генная диагностика, при которой используется полимеразная цепная реакция (определяется наличие ДНК вируса).
Анализ позволяет выявить возбудителя и отличить его от других. В качестве вспомогательного метода используют иммуноферментный анализ, определяющий наличие в крови пациента антител к вирусу.
Лечение герпеса
Многих интересует вопрос, как вылечить генитальный герпес навсегда? К сожалению, полностью избавиться от заболевания не удастся, поскольку вирус, попадая в организм, остается там. С помощью лекарственных препаратов можно лишь быстро устранить клинические проявления недуга и продлить период ремиссии.
Медикаментозное лечение
Терапию проводят таблетированными лекарственными средствами, а также мазями для наружного применения.
Эффективные препараты для лечения генитального герпеса:
- «Ацикловир» («Ацивир», «Зовиракс», «Ацикловир-БСМ», «Виролекс», «Лизавир», «Цикловакс»);
- «Фамцикловир» («Валтрекс»);
- «Пенцикловир».
Различают два способа применения противовирусных препаратов – в виде эпизодического назначения (коротким курсом до 10 дней) и превентивного (в течение месяца или двух).
Чаще в лечебной практике используют «Ацикловир» (в таблетках или капсулах) и его аналоги. Взрослым пациентам назначают терапевтическую дозу препарата, согласно с инструкцией. Прием лекарств на начальной стадии заболевания помогает предотвратить появление сыпи.
Если начать лечение после появления пузырьков, то симптомы станут менее выраженными, а заживление будет происходить быстрее. При частых рецидивах болезни стоит принимать противовирусные препараты для профилактики.
Как лечить генитальный герпес средствами для наружного применения? Для этого в составе комплексной терапии заболевания используют мази:
- «Ацикловир»;
- «Зовиракс»;
- «Виролекс»;
- «Фукорцин» (если поражены кожные покровы);
- Оксолиновую мазь.
Совместно с противовирусными средствами назначают иммуномодуляторы:
- «Амиксин»;
- «Полиоксидоний»;
- «Ликопид»;
- «Интерферон».
Перечисленные препараты воздействуют на иммунную систему пациентов с генитальным герпесом, стимулируя ее специфические и неспецифические факторы. Это позволяет блокировать дальнейшее распространение вируса и снизить частоту рецидивов.
Схема лечения заболевания
Существуют определенные схемы лечения генитального герпеса. Выбор конкретной зависит от типа заболевания, его длительности и состояния пациента.
Прием препаратов при первичном заражении
Лечение рецидивирующего генитального герпеса
Лечение генитального герпеса у женщин
| Препараты | Схема лечения | Длительность лечения |
| «Ацикловир» 200 мг | 1 г в сутки, разделить на 5 приемов | 5-7 дней |
| Иммуноглобулин противогерпетический | 1 раз в 72 часа | 14 дней |
| «Таквитин» | 1 мл раз в 3 дня | 14 дней |
| Витамины В6 и В1 | 1 мл раз в сутки, чередовать | 14 дней |
| «Феназепам» | 1 таблетка дважды в сутки | 7 дней |
| Кальция хлорид | 20 мл раз в сутки | 21 день |
| Настойка элеутерококка | 3 мл 3 раза в день (последний прием не позже 16-00) | 21 день |
Во время беременности противовирусную терапию проводить не рекомендуется. Исключением являются тяжелые формы генитального герпеса, осложненные другими заболеваниями, угрожающими жизни пациентки.
Для эффективного лечения в этой ситуации применяют человеческий иммуноглобулин. Его вводят внутривенно по 25 мл 3 раза (через день) в первом, втором и третьем триместре (за две недели, до предполагаемого срока родоразрешения). В комплексной терапии может назначаться «Виферон».
Народные средства
Помимо лекарственных методов, возможно лечение генитального герпеса народными средствами:
- Масло чайного дерева.
Для применения необходимо в 400 мл кипящей воды добавить 10 капель масла. Средство использовать для подмывания половых органов. Выполнять процедуру следует перед сном. - Травяной сбор.
Смешать в одинаковом количестве листья березы, цветы клевера лугового, календулы, корень одуванчика и траву пустырника. 10 г сбора залить 350 мл воды. Отвар кипятить на медленном огне 5 минут. После остывания его процеживают и используют для подмывания или спринцевания. Процедуру выполняют раз в сутки перед сном на протяжении двух недель. - Череда.
Чтобы снять зуд на начальной стадии герпеса необходимо 10 грамм сухой травы залить 250 мл кипятка и дать постоять час. Настой процедить, намочить в нем отрез марли и приложить к пораженному участку на 10 минут. Также средство можно принимать внутрь (по 100 мл дважды в сутки). - Ромашка.
Оказывает противовоспалительное действие, помогает снять боль. 5 грамм сухих цветов заливают 200 мл кипящей воды и оставляют на 40 минут. Процеживают и используют для орошения слизистых оболочек или спринцевания. Применять такой настой можно 2 раза в день. - Как лечится генитальный герпес морской солью:
в 10 литрах кипятка растворяют 50 грамм морской соли и после остывания средства его используют для принятия сидячих ванн. Процедуру проводят ежедневно (по четверти часа в течение 14 дней). Смывать солевой раствор не нужно, достаточно аккуратно промокнуть наружные половые органы. - Корень эхинацеи.
Используют для укрепления иммунной системы. Для приготовления средства необходимо 20 грамм измельченного сырья залить 100 мл 70% спирта. Настойку неделю выдерживают в темном прохладном месте. Затем, средство процеживают и принимают по 25 капель 3 раза в день. Курс лечения – 2 месяца. При необходимости его можно повторять.
Что нельзя делать при заболевании?
Если появились симптомы заболевания, не нужно впадать в панику, поскольку при правильном лечении возможна длительная ремиссия. Также стоит воздержаться от половой жизни до полного исчезновения проявлений герпеса. Не рекомендуется употребление алкоголя, служащего провоцирующим фактором для данного заболевания.
До визита к врачу нельзя тереть пораженные места и дотрагиваться до них руками. Это способствует распространению вируса и появлению новых высыпаний. Обрабатывать пузырьки спиртом категорически запрещено, так как он не предназначен для лечения подобных проблем и может вызвать химические ожоги слизистых оболочек или кожи.
Многих пациентов интересует вопрос, можно ли вылечить генитальный герпес не обращаясь в больницу? Ответ на него отрицательный. Самолечение только усугубит состояние и станет причиной частых рецидивов.
Возможные осложнения
Необходимо знать, как быстро вылечить генитальный герпес, поскольку при несвоевременном обращении к врачу возможно появление осложнений.
Без прохождения своевременной терапии генитальный герпес становится причиной:
- Дизурии или нейропатии, вызывающих острую задержку мочи.
- Массивного поражения инфекцией внутренних органов. Это происходит в редких случаях, в основном при иммунодефиците (поражаются кисти, ягодицы, слизистая оболочка глаз, а при оральном сексе возникает стоматит, хейлит или фарингит).
- У женщин наличие генитального герпеса увеличивает вероятность появления рака шейки матки.
- Психологических проблем и склонности к депрессии.
- При первичном генитальном герпесе у беременных в 50% случаях происходит заражение плода. Чаще это случается во время прохождения ребенка через половые пути, пораженные герпесом, и исключается при проведении кесарева сечения. Инфицирование плода приводит к поражению его глаз, кожи и нервной системы, а иногда и к инвалидности.
Профилактика заболевания
К методам специфической профилактики относят использование вакцин. Но вследствие того, что вирус устроен особым образом, получить стойкий эффект не всегда удается.
Неспецифическими мерами профилактики генитального герпеса являются:
- умеренные занятия спортом и здоровый образ жизни;
- отказ от употребления алкоголя и курения;
- укрепление иммунной системы;
- использование средств барьерной контрацепции при любых видах секса ;
- правильную личную гигиену (не пользоваться чужим нижним бельем, полотенцами и т. д.).
Если вы уже инфицированы вирусом герпеса, чтобы предотвратить частые обострения избегайте перегрева и переохлаждения, принимайте в целях профилактики витаминные комплексы. Будьте внимательны к своему организму и всегда оставайтесь здоровы!
Полезное видео: жизнь с вирусом генитального герпеса (советы врача)
Наверное каждый из нас сталкивался в своей жизни с таким явлением как герпес. Безусловно, заболевание крайне неприятное, оно проявляется в виде высыпания водянистых пузырьков на губах или в области половых органов. Сыпь может моментально разрушить все планы на ближайшую неделю, ведь она значительно портит внешний вид и вызывает массу неприятных ощущений. Часто болезнь называют простудой на губе. Отчего же появляется заболевание, почему могут возникнуть рецидивы и как с ними бороться, читайте далее.
Герпес обыкновенный
Данное заболевание относится к числу вирусных инфекций. Как и все вирусы, заболевание крайне агрессивно и сопровождается конкретными симптомами. Попадая в организм человека вирус встраивается в структуру клетки и начинает размножаться вместе с делением клетки. Болезнь опасна при беременности, так как может инфицировать плод. Заболевание передается бытовым, воздушно-капельным и половым путем. Также вирус может проникнуть в организм при переливании инфицированной крови.
Болезнь чаще всего поражает слизистые оболочки человека, сыпь может появиться на губах, в полости рта, на гениталиях. Реже проявления болезни можно увидеть на груди в виде мелких водянистых пузырьков. Без соответствующего лечения острая фаза заболевания может продолжаться до 21 дня. При этом выражены такие симптомы как зуд, жжение, боль.
Не все знают, что такое заболевание как ветряная оспа, которое чаще всего проявляется в детском возрасте, также вызвано проникновением определенного вида вируса герпеса. Однако этот вирус не так агрессивен и иммунная система выработав защитные антитела, препятствует повторному заражению этой болезнью. При локализации высыпаний в полости рта, для назначения верного лечения необходимо исключить диагноз стоматит. Для этого специалисты используют несколько методов диагностирования, среди которых можно выделить исследования содержимого пузырьков и соскоб с места эрозии. В результате анализов диагноз вируса подтверждается при наличии в биологическом материале многоядерных клеток.
Сегодня специалисты разделяют три разновидности вируса:
- Цитомегаловирус
. Особо опасен для беременных женщин. Способен инфицировать плод, проникнув через плаценту. Нередко при этом заболевании беременность заканчивается преждевременными родами. При отсутствии должного лечения плод может быть мертворожденным. Данный вид заболевания встречается крайне редко, однако не стоит пренебрегать незамедлительным походом в поликлинику при первых признаках болезни. - Эпстайна-Барра
. Вирус виртуозно маскируется под ангину. Течение заболевания острое с высокой температурой тела, ознобом, болью в горле. Распространяется преимущественно бытовым путём. Характеризуется высыпаниями пузырьков на миндалинах. Выявляется при осмотре больного. - Зостер
. Самый распространенный вид вируса. Именно эта форма болезни характеризуется высыпаниями на губах. Также вирус может спровоцировать генитальный герпес.
Многие знают, что появившись один раз, болезнь может возобновляться с завидной постоянностью. Частые проявления заболевания являются поводом консультации врача — иммунолога.
Лечение заболевания зависит от вида вируса, и в основном заключается в приеме противовирусных и иммуностимулирующих препаратов для местного и внутреннего применения.
Хронический герпес
Заболевание развивается на фоне ослабления защитных функций организма. Вирус, проникший в клетки один раз, продолжает жить и развиваться, провоцируя рецидивы и поражая внутренние органы и проявляется периодическими высыпаниями на слизистых оболочках. Толчком к активизации вируса может стать любой фактор, снижающий иммунитет, такой как перемена климата, переохлаждение, респираторное заболевание, диета, менструация или беременность.
Течение хронического заболевания отличается менее выраженными симптомами, частота проявлений может составить до нескольких раз в год. Несмотря на кажущуюся безобидность, хроническая форма болезни крайне опасна и может протекать у пациента годами.
Наиболее часто встречающейся формой этого хронического заболевания является генитальный герпес. Болезнь характеризуют частые водянистые высыпания на половых органах. Передается половым путем и при использовании общих бытовых предметов (полотенца, мочалки и т.д.) также вирусом можно заразиться при посещении общественных бань и туалетов. Опасность заболевания заключается в более сложном, с каждым последующим разом, лечении.
Генитальный герпес бывает трех видов:
- Аритмичный
. Этот тип течения болезни характеризуют неуправляемые рецидивы заболевания. Основной особенностью типа считается более выраженные высыпания после продолжительной ремиссии. Болезнь протекает остро и требует особого лечения, которое подразумевает полное восстановление иммунной системы в несколько этапов. - Монотонный
. Течение болезни при этом типе характеризуется частыми проявлениями в результате даже незначительных переохлаждений. У женщин генитальный тип болезни может проявляться во время каждой менструации. Этот вид заболевания трудно поддаётся лечению и требует комплексного подхода и полного обследования. При неэффективности традиционного лечения необходима консультация иммунолога. - Стихающий
. Этот тип течения заболевания самый оптимистичный. С течением времени при данном типе, период покоя имеет всё большую продолжительность, а симптомы с каждым разом имеют меньшую выраженность. При правильном лечении специалисты прогнозируют полное выздоровление.
Проявления симптомов генитального герпеса
Генитальный герпес может различаться по выраженности в зависимости от формы заболевания. На первичной стадии болезни все симптомы ярко выражены и нередко устрашающие.
- Начинается генитальный вид заболевания с резкого повышения температуры до 38.5 градусов, слабости и общего недомогания.
- Далее к температуре присоединяется зуд в области половых органов, где в последствии через 1-2 дня появляются водянистые пузырьки, которые болезненны на ощупь.
- После вскрытия пузырьков на их месте образуются корочки, которые отпадают при заживлении ранки.
Часто первичную стадию болезни люди путают с венерическими заболеваниями. При первых симптомах болезни необходимо незамедлительно обратиться к врачу. Только врач сможет поставить верный диагноз и назначить адекватное лечение. Самолечение грозит переходом болезни в хроническую стадию.
Хроническая форма болезни проявляет себя менее выражено, у пациента отсутствует повышение температуры, высыпания не так обширны и заживают намного быстрее. Этот вид болезни белее опасен. В результате слабовыраженных симптомов, многие люди не прибегают к необходимому лечению, продолжая инфицировать половых партнеров. Несмотря на видимую безопасность, болезнь нередко оборачивается серьезными осложнениями.
Особую опасность генитальный вид болезни представляет для беременных женщин, так как при родах мать может заразить новорожденного.
Помимо полового пути распространения генитальный вид может передаваться бытовым путём, при использовании общих средств гигиены, вещей или постельных принадлежностей.
Как справиться с хроническим заболеванием
Вследствие того, что хроническая форма болезни развивается на фоне ослабления защитных свойств организма, в первую очередь необходимо обратить внимание на повышение иммунитета. Специалисты отмечают, что для того чтобы восстановить иммунную защиту, в первую очередь необходимо вести здоровый образ жизни. Поднятию иммунитета способствуют:
- Регулярные занятия спортом;
- Полноценное, богатое витаминами питание;
- Отказ от вредных привычек;
- Здоровый сон;
- Процедуры закаливания;
- Ежедневные прогулки на свежем воздухе;
- Активный отдых.
При высыпаниях необходимо сразу применять противовирусные препараты. Для профилактики повторений при диагнозе генитальный герпес, можно применять и народные средства медицины, однако перед их применением необходима консультация специалиста.
Народная медицина снизит частоту рецидивов при герпесе
Рецепты народной медицины для лечения хронического генитального высыпания предполагают употребление различных сборов и отваров с высоким содержанием витаминов и микроэлементов.
Для укрепления иммунной системы прекрасно подходят такие отвары, как отвар плодов шиповника, боярышника, листьев и плодов малины, смородины, крапивы, ромашки, зверобоя.
Также для профилактики рецидивов заболевания нужно употреблять в пищу мед, орехи, лимоны, чеснок, хрен и другие биологически активные компоненты, которые помогают нашему организму бороться с различными заболеваниями и укрепляют защитные функции организма.
Для быстрого избавления от пузырьков на губах можно применить следующее средство: при первых симптомах необходимо взять таблетку ацетилсалициловой кислоты, смочить её водой и приложить на 5 минут к пузырьку на губе. После этого остатки таблетки не вытирать и пораженный участок не мочить. Данный рецепт от народных целителей быстро избавит вас от простуды на губе.
- Иногда врачи рекомендуют смачивать пораженный участок высыпаний, но после этого нужно высушить его. Сделать это можно махровым полотенцем или в крайнем случае феном. Делается это для снятия зуда, боли и дискомфорта при вспышке герпеса.
- Постарайтесь держать волдыри в чистоте. Считается, что ухоженные участки кожи заживают быстрее.
- При обострении носите свободную, дышащую одежду. Это может быть пижама из хлопка или другая свободная одежда. Помните, ношение синтетических, узких вещей усугубит протекание заболевания.
- Если боль невыносима, проконсультируйтесь с врачом и он пропишет вам местный антисептик снимающий боль на локализованном очаге.
Медицинские препараты при рецидивах
В аптечных сетях можно встретить огромное множество препаратов, которые способны справиться как с наружными проявлениями болезни, так и побороть заболевание изнутри. Сегодня врачи чаще всего прописывают препараты, в состав которых входит ацикловир и зовиракс. Эти препараты имеют противовирусное действие и обеспечивают надежную защиту организма от распространения вирусной инфекции. Также препараты могут назначаться для профилактики заболевания при непосредственном контакте с зараженным человеком.
В зависимости от стадии и формы заболевания необходимо подбирать индивидуальное лечение. Особенно это актуально при хронических формах болезни. Такое лечение может назначить только опытный специалист с учетом всестороннего обследования высыпаний, биологических анализов и анамнеза болезни.
Обычно лечение происходит в несколько этапов:
- Подавление внешних признаков заболевания при помощи специальных мазей и кремов.
- Подавление внутренних признаков заболевания путем приема антивирусных препаратов, блокирующих рост клеток вируса.
- Восстановление защитных функций организма путем активации иммунитета при помощи витаминов и иммуностимулирующих препаратов.
Прививка от вируса
Вакцинация против данного вируса в нашей стране не распространена, однако вакцина существует. Чаще всего рекомендуют прививаться пациентам с хронической формой недуга в период затишья болезни. Вакцина помогает вырабатывать необходимые антитела и укрепляет защиту организма.









