Кроме того, она может быть вызвана целой комбинацией различных факторов. Среди наиболее распространенных причин следующие:
- Как и в случае с анорексией, психологические комплексы, часто появляющиеся в период психического становления молодого организма. Нередко булимия проявляется не как отдельное заболевание, а один из симптомов, сопутствующих нервной анорексии.
- Пограничное расстройство личности, которое проявляется в виде импульсивности, низкого самоконтроля, психической неустойчивости, нестабильной связи с реальностью, тревогой и десоциализацией.
- Последствие неправильных и неумеренных диет, когда человек после долгого воздержания буквально как зверь набрасывается на еду и ничего с собой не может поделать.
- Последствие некоторых заболеваний эндокринной или центральной нервной системы.
- Комплексы «родом из детства» — крайне строгое воспитание, жестокое обращение сверстников, сексуальное насилие в возрасте до 14 лет (некоторые исследователи последний фактор называют одной из самых частых причин возникновения нервной булимии — чуть ли не до 40% случаев).
Случались и исключительные случаи булимии
, причиной которой могло, к примеру, стать намеренное провоцирование ожирения , чтобы избежать сексуальных домогательств или насилия. В древние времена в Греции и Риме некоторые представители элиты во время пиров объедались, потом вызывали рвоту, чтобы попробовать блюда, которые уже не влезали.
Диагностика нервной булимии.
Часть критериев при диагностике булимии
во многом схожа с критериями диагностики нервной анорексии , несмотря на кажущуюся противоположность этих двух психопатологий:
- страх (близкий к панике) набрать вес, несмотря на то, что вес пациента в норме или даже недостаточен;
- нарушенное восприятие своего собственного веса или формы тела (дисморфофобия);
- заниженная самооценка;
- отрицание наличия этого заболевания или его намеренное сокрытие;
- тревога, депрессия, замкнутость, а иногда и зависимость от наркотиков или алкоголя;
- суицидальные настроения;
- чрезмерный прием массивной, грубой и калорийной пищи;
- применение малоэффективных или опасных для здоровья приемов с целью контроля веса — рвота, чрезмерная физическая активность, использование слабительных, мочегонных, клизм, препаратов для подавления аппетита и многое другое;
- частота вышеописанных кризисов не менее двух раз в неделю продолжительностью не менее 3 месяцев.
Последствия булимии.
Наиболее серьезные осложнения (последствия булимии
), вызываемые нервной булимией таковы:
- Эзофагит — воспаление слизистой оболочки пищевода из-за рвоты.
- Повреждение слизистой пищевода или желудка вследствие огромных объемов потребляемой пищи (вплоть до разрыва).
- Изжоги и язвы.
- Боли в горле, хриплый голос.
- Обезвоживание организма.
- Проблемы с ионным (электролитным) составом крови и плазмы, например, гипонатриемия (вызванные частым приемом диуретиков или слабительных препаратов, вымывающих кальций, калий и другие минералы и микроэлементы из организма).
- Риск почечной недостаточности по той же причине.
- Аритмия и одышка.
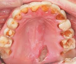
- Язвы в ротовой полости и проблемы с зубами, вызванные не только недостатком кальция, но и вредным воздействием желудочного сока на зубную эмаль при рвоте (кариес).
- Запоры, вызванные привыканием организма к слабительным.
- Неприятный запах рвоты изо рта.
- Нарушения менструального цикла.
- Отеки конечностей.
- Слабости и обмороки (часто — в момент приема пищи).
- Депрессии, увлечение наркотиками или алкоголем.
- Возможно периодическое проявление анорексии (обычной, не нервной) — как результат переизбытка негативных эмоций от приема пищи, что еще больше усугубляет ситуацию.
- Ухудшение работы мозга и снижение сообразительности.
- Социальная дезориентация или социофобия.
- Нарушение общения с друзьями и близкими.
- Снижение продолжительности жизни.
Лечение булимии.
Самым распространенным методом лечения нервной булимии
у психотерапевтов считается когнитивно-поведенческая терапия, то есть направление мыслей и убеждений пациента в нужное русло, переосмысление своих целей и назначение самого больного ответственным за свой рацион и методы питания. Также применяется и медикаментозное лечение, такими препаратами как флуоксетин (или других антидепрессантов фармакотерапевтической группы СИОЗС).
Лечения с помощью Эриксоновского гипноза
(метод американского психотерапевта Милтона Эриксона) также является довольно эффективным, поскольку позволяет изменить глубокие убеждения человека в отношении еды. Более того, этот вид терапии по длительности занимает меньше времени, чем большинство других способов лечения нервной булимии.
Другими, несколько менее эффективными, методами лечения булимии являются: психоанализ, семейная терапия и групповая терапия (наподобие популярных на Западе обществ Анонимных Алкоголиков, Анонимных Наркоманов, Анонимных Сексоголиков и т.д.).
И, конечно же, психологическое лечение должно совмещаться с лечением физиологическим для ликвидации перечисленных выше последствий и осложнений нервной булимии
.
Булимия – в понимании широких женских масс это «хочу быть стройной, но не могу сдержать аппетит».
А на медицинском языке Булимия Невроза – расстройство пищевого поведения – обжорство, и связанные с этим последствия:
- гормональные
- электролитные нарушения.
Гонка за стройной фигурой сегодня, похоже, переходит в истерию. Девушки и женщины от 12 и до….. стремятся скинуть лишние, как им кажется, килограммы. Отвечая желаниям пользователей, страницы интернета просто завалены различными советами и рецептами. Дамам обещают избавление от избытков веса за месяц, за неделю, за день. И ведь многие ведутся на эти зазывалки, не задумываясь о последствиях, которые не заставят себя ждать. Самые неприятные из них, это такие заболевания как анорексия и булимия, с которыми сегодня врачам приходится сталкиваться все чаще и чаще.
Сегодняшняя статья предназначена для милых дам, и не только, которые готовы проверить на себе все рецепты, испробовать все способы, лишь бы соответствовать тощему эталону с экрана.
Давайте познакомимся
Красота требует жертв – лозунг женщин всех веков и народов. На современном этапе страсть к совершенству породила на свет такие патологии как
Анорексия – это отказ от еды, а булимия – наоборот – бесконтрольное поглощение огромного количества продуктов. Булимия – дословно обжорство. Но, оставим в покое этическую сторону вопроса, и займемся самой проблемой, так как состояние, до которого доводят себя многие женщины, действительно грозит серьезной бедой.
Итак, Булимией принято считать психопатологическое состояние, при котором человек чувствует сильнейший голод, который не в силах утолить даже огромным количеством продуктов. При чем, количество съеденного вызывает чувство вины и страха набрать лишний вес. Что бы как-то компенсировать состояние, больные пытаются быстро избавить от поглощенной пищи:
- провоцируют рвоту;
- пьют слабительные или мочегонные;
- прибегают к помощи клизмы;
- объявляют голодовку;
- до изнеможения изводят себя в тренажерных залах, саунах и банях,лишь бы помешать поглощенным калориям, усвоиться в организме.
В иностранной литературе показателями булимии считается именно такое поведение.
Характерная особенность Булимии Невроза – это нормальный или почти нормальный вес больных
, по крайней мере вначале болезни!
Что же происходит с человеком, что он теряет способность насытиться?
Механизм поражение и причины
Постоянный голод преследует людей с этой патологией из-за того, что произошел сбой в системе передачи нервными импульсами информации, или возникли нарушения в рецепторах гипоталамуса, отвечающих за подачу сигнала о достаточном поступлении питательных веществ.
Если говорить человеческим языком, то получается, что желудок получил пищу, просигнализировал центру, что все Ок, а мозг эту информацию не получил. И продолжает требовать недостающего.
Причины, по которым возникает булимия, врачи делят на три группы.
Органические
Сюда относятся эндокринные нарушения и тяжелые заболевания, такие как:
- диабет, гипертиреоз;
- токсические и опухолевые поражения области гипоталамуса;
- врожденные патологии, затрагивающие головной мозг;
- Очень характерна булимия у психических больных (раньше так и вовсе диагноз булимия был равен диагнозу «умственная отсталость»
)
Социальные
Это эталоны красоты и веса в обществе, где живет человек, и сложившееся мнение по отношению к излишнему весу. Если женщине, что бы чувствовать себя комфортно приходится постоянно оглядываться на свою фигуру, непрерывно следить за своим весом, постепенно это перерастет в нервный синдром. И чувство страха растолстеть будет увеличиваться с каждым днем, приводя к затяжному стрессу или депрессии, ослабить которую можно будет только поеданием пищи.
Психогенные
В эту группу входят люди с низкой самооценкой, постоянно чувствующие неуверенность в себе. Чаще всего психогенная булимия развивается у девочек, выросших в семьях, где родители придерживались слишком строгих правил воспитания. Или развивается у женщин, живущих с мужьями – диктаторами.
Психологи смотрят на проблему булимии немного шире, и классифицируют ее по таким видам как:
- мазохистская,
- демонстративная,
- зацикленная на сексуальной стороне жизни.
Обнаружить больного человека достаточно сложно, есть много людей, которые просто любят хорошо покушать или привыкли с детства потреблять большие порции. Немало таких, у кого возрастает аппетит в момент стресса. Страдающие булимией все же отличаются. Их состояние сродни алкоголизму или наркомании, когда для человека исчезают все ценности, остается только одно, поедание пищи.
Признаки булимии
И еще такие неприятные признаки булимии как резкие колебания веса, от истощения, вызванного анорексией, являющейся крайним проявлением булимии, до ожирения.
Кстати следует сделать небольшое отступление, и пояснить, почему, несмотря на все принимаемые меры не дать пище усвоиться, больные булимией со временем заканчивают ожирением, если не умирают раньше от своих усердий!
- Усвоение пищи начинается уже в желудке. И, несмотря на искусственно спровоцированную рвоту, 70% поглощенных калорий успевают усвоиться. А если избавление от пищи происходит посредством слабительных, тогда усваивается еще больше;
- Постепенно происходит сбой в обменных процессах, метаболизм организма резко замедляется. Это ведет к тому, что съеденная пища почти полностью становится жиром;
- Изнурительные занятия спортом ведут к наращиванию мышечной массы и обезвоживанию. При первом же удобном случае организм, пытаясь вернуть потерянную влагу, наращивает жировой слой
Больные не осознают своего положения и не задумываются над тем как избавиться от булимии.
Внимание! Очень характерно:
многие больные стараются тщательно скрыть свое навязчивое поведение.
Разрушительное действие булимии
Последствия булимии крайне разрушительны, многие из них НЕОБРАТИМЫ!
При исследовании крови обнаруживаются
- Признаки хронического обезвоживания;
- недостаток калия, хлора, кальция;
- недостаток фосфатов;
- недостаток натрия (при злоупотреблении мочегонными);
- избыток мочевой кислоты;
- ацидоз (при злоупотреблении слабительными) или алкалоз (при частой искусственной рвоте)
Нарушение гормонального состояния представляет собой полный бардак
:
- недостаток фолликулостимулирующего гормона гипофиза (регулирует менструальную функцию);
- избыток или недостаток пролактина;
- гипотиреоидизм или низкий уровень гормонов щитовидной железы (свободного Т3 и Т4);
- нарушение гормонов паращитовидных желез;
- повышенный уровень кортизола
При исследовании желудочно-кишечных ферментов
– повышен уровень амилазы (симптом панкреатита)
Постоянные принудительные чистки кишечника приводят к нарушению водно – электролитного обмена, это ведет к тому, что все мышцы тела теряют свою сократительную способность. Такая ситуация сказывается в первую очередь на работе сердца, стенки которого состоят из нескольких видов мышц, обязанных непрерывно сокращаться. Последствия могут быть вплоть до остановки сердца.
Для нормальной работы, нашему организму необходимо постоянно иметь определенное количество жизненно важных веществ, в первую очередь это электролиты (калий, кальций, магний, натрий). При постоянном издевательстве над своим желудком и кишечником, большая часть важных элементов, которые должны постоянно поступать с пищей, вымывается и не успевает всасываться. В итоге развиваются такие патологии как:
Аритмия,
почечная недостаточность,
воспаление пищевода – эзофагит
воспаление поджелудочной железы панкреатит
нарушение эвакуаторной функции желудка и кишечника (парез желудка, парез кишечника)
недостаточная выработка или выброс в кровь гормонов, что ведет к нарушению менструального цикла, выкидышам, преждевременным родам.
Анемия,
Гипогликемия,
Атония,
Миопатия
Можно долго перечислять умные слова, для многих они прозвучат непонятным, ничего не означающим звуком. Проще назвать те изменения, которые произойдут с человеком. И так, последствия постоянных рвот приведут к болезни слизистой горла, разрушению зубов, образованию язв в пищеводе.
Из-за гипертрофированной работы слюнных желез они значительно увеличиваются в размерах, делая лицо отечным. Разрушается структура ногтей, ногтей становятся ломкими, слоятся, меняют цвет и теряют естественный блеск. Недостаток витаминов и минералов разрушает волосы и кожу, на лице и теле появляются отеки, мышцы часто сводят судороги, возможно образование внутреннего кровотечения.
Ослабленные атонией стенки кишечника становятся открытыми воротами для любой инфекции или других тяжелых заболеваний, включая, хронические запоры, , парез кишечника, адинамическая кишечная непроходимость и другие смертельные состояния!
Смертельные последствия булимии
И если уж говорить о тяжести заболевания, последствия булимии также опасны, как и последствия анорексии.
Известны случаи разрыва пищевода и желудка из-за огромного количества пищи и выпадение прямой кишки из-за постоянных слабительных;
Панкреатит;
Острое отравление ипекакуаной (рвотным веществом);
Смертельные аритмии на фоне нарушения электролитов.
Говоря о тяжести последствий булимии, нельзя обойти стороной жертвы этой жуткой заразы:
1. Андрея Шмелтцер – сильная динамичная личность с большим жизнелюбием. Всего 13 месяцев страдала булимией. Смерть наступила во сне в результате электролитного дисбаланса.
2. Элиза Руф Макколл – студентка, в 20 лет покончила с собой, из-за булимии, впав в депрессию. В память о ней организовано общественное движение психологической помощи подросткам, страдающим нарушением пищевого поведения.
3. Шелди Стернер – талантливая девочка, певица, музыкант, поэтесса. Умерла в 19 лет. Как последствие. булимии нарушение электролитов – аритмия – инсульт.
4. Мелисса Бут, умерла в 17 лет от передозировки слабительных.
5.Шандра Шаффер, мать двоих детей, умерла в 27 лет, булимией страдала 15 лет. Ее предсмертные слова: “Я была полна собой и тихо умирала”.
И много много других девушек, которые не смогли справиться с булимией, постигла та же участь.
Лечение
Итак, как избавиться от булимии?
Лечить булимию сложно, потому что требуется участие как минимум:
- психиатра;
- гастроэнтеролога (диетолога);
- эндокринолога;
- а также кардиолога и нефролога
Лечить это заболевание приходится долго, а некоторые его последствия – осложнения придется лечить ПОЖИЗНЕННО.
Лечение начинают с выяснения причин возникновения болезни. В странах Европы принят трехсторонний подход к проблеме. На больного воздействуют сразу по таким направлениям как:
- Психологическое воздействие;
- Индивидуальная диета;
- Нормализация физических нагрузок.
Первый и самый важный момент, это психика больного. Врачи обращают на этот момент лечения больше всего внимания. Помимо работы над проблемами человека, устанавливаются его интересы, пристрастия помимо еды. Специалист рекомендует все свободное время занимать любимыми увлечениями, чтобы не оставлять ни минутки для ненужных раздумий.
Лечение булимии наиболее эффективно, если родные принимают в нем участие. Булимия так просто не отступит и родственникам больных, особенно родителям девочек, рекомендуется держать под контролем:
- Объем доступной пищи;
- Посещения туалета (желательно снять замки, чтоб больной булимией не имел возможности уединяться надолго!);
- Особенно надо следить за посещением туалета через 2 часа после приема пищи
Диета разрабатывается с таким учетом, что бы больной мог насытиться, и в то же время получить все полезные компоненты.
Физические нагрузки способны радикально решить вопрос, как избавиться от булимии. Грамотный подход к тренировкам поможет справиться со стрессовым состоянием, и быстрее прийти в норму.
Дорогие Друзья! Медицинская информация на нашем сайте предназначена только для ознакомления! Обратите внимание, самолечение опасно для Вашего здоровья! С уважением, Редакция сайта
Булимия (нервная булимия, кинорексия) — расстройство пищевого поведения, связанное с потерей контроля над количеством потребляемой пищи в сочетании с желанием поддерживать текущий вес. Булимия характеризуется перееданием, регулярным очищением желудочно-кишечного тракта (вызывание рвоты, прием слабительных) и психологически нестабильной зависимостью самооценки от массы тела и мнения окружающих.
Диетологи отмечают, что сегодня булимия — даже более распространенное явление, чем анорексия (отказ от пищи) и компульсивное переедание (потребление чрезмерного количества пищи), которые часто являются предвестниками булимии. Несмотря на это, мы знаем о заболевании недостаточно. Восполнить пробелы, которые могут иметь жизненно важное значение, если речь идет о ком-то из ваших близких, предлагаем прямо сейчас.
По сути, булимия — это навязчивое желание. Съесть как можно больше, избавиться от только что съеденного или получить идеальную фигуру. Нередко «булимики» имеют тенденцию к тайной алкогольной зависимости, по поводу которой впоследствии испытывают огромное чувство вины. Кроме того, при заболевании булимией человек не чувствует меры, так что внезапно он может отказаться от пищи совсем, а затем так же внезапно вернуться к привычному рациону, но начать ходить в тренажерный зал семь раз в неделю. Вообще, навязчивость в стремлениях — один из самых очевидных признаков булимии, помогающий в ее выявлении.
Булимия является психическим расстройством.
Булимия — не просто расстройство пищевого поведения, но также серьезное психическое расстройство. По данным Национальной ассоциации нервной анорексии и связанных с ней нарушений (ANAD) США, расстройства пищевого поведения приводят к наиболее фатальным психическим состояниям. Этот факт объясняется долгосрочными проблемами со здоровьем и постоянными стрессами, связанными с суицидальными мыслями. Кроме того, булимия заставляет людей чувствовать стыд из-за своей неспособности контролировать компульсивное поведение, что может привести к серьезной депрессии.
Общественное давление — одна из причин булимии.
Причины булимии до сих пор остаются предметом для дискуссий в профессиональном сообществе. Тем не менее, многие эксперты считают, что есть прямая корреляция между глянцевыми стандартами красоты и расстройствами пищевого поведения. По словам исследователей, именно желание стать похожими на моделей с обложек приводит девушек к нездоровым отношениям с едой.
На этом фоне особенно интересным кажется скандал с обложкой американского Vogue (март 2017 года). Выпуск, названный Model Behavior: The Great Beauty Shakeup и посвященный самым популярным современным моделям, вызвал шквал критики в Сети. Повод — двойные стандарты. Редактор журнала Анна Винтур хоть и поместила plus-size модель Эшли Грэм на обложку, наряду с Кендалл Дженнер, Джиджи Хадид и другими девушками «традиционных» модельных параметров, сделала она это таким образом, что определить, где на снимке модель размера «плюс», решительно невозможно.
Булимия может быть обусловлена генетически.
Давление со стороны общества и психические расстройства — лишь две из возможных причин булимии. Некоторые ученые считают, что расстройство может быть обусловлено генетически. Так, вы можете быть более склонны к развитию булимии, если один из ваших родителей страдал этим расстройством пищевого поведения. Тем не менее, до сих пор точно не выяснено, связано ли это с генами или с нездоровой атмосферой в семье.
Мужчины тоже болеют булимией.
В то время как женщины чаще склонны к расстройствам пищевого поведения, такой тип расстройств не является специфическим для гендера. Эксперты отмечают, что до 15% людей, получающих профессиональное лечение от булимии, — пациенты мужского пола. При этом у мужчин реже проявляются симптомы, заметные окружающим, и они более агрессивно реагируют на психологическую помощь. Именно поэтому лечение в данном случае может быть затруднено.
«Булимики» чаще всего имеют нормальный вес.
Если бы думаете, что человек, больной булимией, должен быть худым, то вы не правы. Это анорексия вызывает дефицит калорий, что приводит к быстрой и очевидной потере веса. В то же время люди, страдающие булимией, хоть и могут испытывать эпизоды анорексии, но, как правило, в целом потребляют больше калорий за счет переедания. Этим объясняется тот факт, почему подавляющее большинство «булимиков» сохраняют нормальный вес, не вызывая никаких подозрений.
Булимия наносит серьезный вред здоровью.
Это расстройство пищевого поведения вызывает больше последствий, чем просто нездоровое похудение. Все системы в нашем организме зависят от питания и, что немаловажно, от здорового питания, чтобы функционировать должным образом. Когда вы нарушаете нормальный метаболизм, вы наносите своему телу серьезный ущерб. Так, булимия может провоцировать:
- Анемию (малокровие);
- Низкое кровяное давление;
- Нерегулярный сердечный ритм;
- Чрезмерную сухость кожи;
- Разрыв пищевода (в случае чрезмерной рвоты);
- Заболевания желудочно-кишечного тракта;
- Нерегулярный менструальный цикл;
- Почечную недостаточность.
Булимия влияет на репродуктивную функцию.
Женщины с булимией часто сталкиваются с нерегулярностью цикла, однако это не самое страшное. Булимия может иметь серьезные последствия для репродуктивной функции, даже если цикл вернется в норму. Но опасность еще больше, если речь идет об эпизодах булимии в период беременности, так как последствия могут включать в себя риск сахарного диабета, врожденные дефекты плода, а также угрозу выкидыша и мертворождения.
Антидепрессанты — способ справиться с болезнью.
По данным исследований, антидепрессанты имеют наиболее мощный потенциал в смысле лечения булимии. Оптимальный вариант всегда подбирает психотерапевт, который определяет как дозировку, так и регулярность применения выбранного средства. Важно, что данные последних лет позволяют говорить об увеличении эффективности лечения булимии примерно в два раза при сочетании антидепрессантов с когнитивно-поведенческой терапией (КПТ).
Вылеченная булимия может вернуться.
Хорошая новость в том, что булимия поддается лечению. Однако ее симптомы возвращаются, и порой без предупреждения. Согласно статистике ANAD, только 1 из 10 больных булимией обращается за медицинской помощью, признавая у себя расстройство пищевого поведения, и лишь половине из них удается справиться с булимией полностью. Поддерживать нормальное психологическое состояние правильнее всего умеренной физической активностью и сдерживанием стрессовых факторов (например, с помощью хобби или медитации). Но, пожалуй, главную роль здесь играет поддержка родных и близких.
Булимия — это психическое расстройство, связанное с приемом пищи, для которого характерно резкое усиление аппетита, начинающееся в виде приступообразного мучительного голода. Данному заболеванию подвержены зачастую молодые женщины, у которых психика наиболее подвержена влиянию. Больные не имеют силу воли и не способны контролировать объем съедаемой пищи.
Заболевание провоцируют некоторые болезни центральной нервной или эндокринной системы, психические отклонения.
Булимия и ее причины: наследственность, образ жизни, заниженная самооценка, психологические нарушения, импульсивность, проблемы личного характера, нехватка серотонина, «заедание» проблем, долговременные диеты, повлекшие срывы в еде; стремление к перфекционизму, активные занятия спортом; общественный заказ на стройность, как стандарт; депрессия, дисбаланс электролитов (солей и минералов), навязчивые мысли и действия, повышенная тревожность.
Симптомы булимии
Выделяют заболевание двух типов. Первый тип – это классический и второй тип – это стадия анорексии.
Первый тип отмечается рвотой, злоупотреблением диуретиков, слабительных, клизм.
Второй тип булимии характеризуется компенсирующим поведением. Больной голодает, активно занимается спортом, не злоупотребляет клизмами, слабительными, диуретиками, не вызывает рвоту.
Данное заболевание характеризуется постоянными, длительными, очень мучительными приступами голода и невозможностью остановиться перед огромным количеством пищи. Больные выбирают для трапезы красивые, большие, жирные куски пищи, очень любят сладкое. После трапезы стараются, как можно быстрее избавиться искусственно от пищи, вызывая рвоту. Часто используют мочегонные средства, а так же клизмы.
Симптоматика заболевания включает общую слабость, боли в подложечной области, повышенный волчий аппетит.
Нарушенное пищевое поведение имеет свою схему, для которой характерен внезапный приступообразный аппетит, приводящий к поглощению большого количества пищи или свойственно присутствие постоянного голода с желанием поглощать пищу именно в ночное время суток.
Булимия и ее симптомы: обезвоживание организма; повреждения на пальцах, которыми больной провоцирует рвоту; воспаление пищевода; подергивания мышц и непроизвольные судороги; диарея, дисбактериоз, внутренние кровотечения, обострения в работе печени и почек, нарушения менструального цикла, заболевания неврастенического характера, болезни сердца.
У больного имеется повышенная тревожность, его посещают навязчивые действия и мысли, имеется поврежденная зубная эмаль и проблема с деснами, наблюдается обезвоживание организма, воспаление пищевода, непроизвольные судороги, подергивания мышц, беспокоит диарея, дисбактериоз, внутренние кровотечения, обострения в работе печени и почек, имеются нарушения менструального цикла, болезни сердца, неврастенические проявления.
Людей удовлетворенных своей внешностью единицы и не все могут с этим смириться. В погоне за идеальной фигурой или после снятия нервного напряжения люди попадают в ловушку булимии. Как это происходит? После голодания или нервного перенапряжения человек набрасывается на пищу, не имея силы воли остановиться. По этой причине люди становятся зависимы от нервной булимии. Личности, которые страдали от нервной булимии — это принцесса Диана, знаменитая манекенщица Твигги, внучка Эрнеста Хемингуэя Марго Луиза, фотомодель Кейт Мосс, Элвис Пресли, ведущая аэробики и актриса Джейн Фонда.
Причины нервной булимии кроются в постоянном стрессовом состоянии, в ранимости и неуверенности человека, а также в одиночестве, скованности разными условностями. Именно поэтому сам процесс поглощения пищи приносит человеку радость, удовлетворение.
Анорексия и булимия
Булимия и анорексия одновременно противоречивые и одинаковые по своей сути заболевания. Разберемся в их сути.
Булимия — это нервное обжорство, с последующим опустошением желудка, чтобы не поправиться, а анорексия — это добровольный отказ от еды для похудения. Больных булимией беспокоят угрызения совести, сомнения, потеря контроля над происходящим. Само поведение очень напоминает поведение анорексичных людей. Отличает их от больных анорексией — умение длительно скрывать свое заболевание, а также удерживать вес в пределах нормы.
Бывают смешанные синдромы, при которых анорексия способна эволюционировать в булимию и наоборот. Одна из причин появления заболеваний анорексия и булимия это многочисленные диеты. Поэтому прежде, чем садиться на диеты или попадать под влияние чужого мнения, стереотипов — подумайте о своем здоровье. Особенно это касается молодых людей, когда на этапе становления как личности, воспринимаются стандарты внешние, а не духовность человека.
Чем это грозит? На какое-то время вы добьетесь желаемого стандарта, однако со временем будет происходить конфликт с самим собой на ментальном уровне, и вы перестанете себя уважать, пожелаете вернуться к привычному ранее образу жизни, но не сможете этого сделать. Если же вы уже находитесь под властью этих недугов, то хочется порекомендовать перестать скрывать свое состояние и обратиться к специалистам. В первую очередь к психотерапевту или психиатру. Эти недуги несут в себе большую опасность для здоровья, которой предшествует расстройство личности с утратой привычного образа жизни. Если вы думаете, что о вашей проблеме не узнают, то вы глубоко ошибаетесь. Такое скрывать долго не возможно.
Очень сложно одному справиться со своей проблемой. Как избавиться от булимии самостоятельно? Для этого будет необходимо приложить волевые усилия и окончательно для себя принять решение о необходимости выйти из этого состояния. Далее забудьте про всевозможные диеты. Да, небольшая прибавка в весе произойдет, но это единственное с чем вам придется смириться. Ваша задача состоит в сбалансированном питании небольшими порциями без ожиданий позывов на голод. Ни в коем случае не должно быть ощущения тяжести в желудке, чтобы не возникло желание вырвать пищу. С того момента, когда вы приняли для себя решение вылечить болезнь, откажись до выздоровления посещать дни рождения и другие застолья.
В лечении эффективны сеансы психотерапии, антидепрессанты, успокоительные препараты и терпение родственников.
Лечение булимии включает сложный комплекс действий, который направлен на восстановление расстроенного питания. На возникновение булимии влияет воздействие неблагоприятных факторов, которые в свою очередь провоцируют появление эмоциональной отстраненности, напряжения, тревоги, переживания из-за травмирующих обстоятельств, возникновение неудовлетворенности собой, депрессии, личностной деперсонализации. Вследствие этих причин необходимо позволить организму полноценно отдохнуть, отказаться от всех видов диет и переедания.
Психологическое лечение заболевания включает психотерапию, на которую возложена перестройка работы организма на отношение к процессу употребления пищи. Необходима в лечении консультация диетолога.
Как вылечить булимию? Методы терапии направлены на устранение истинных причин болезни. Зачастую женщины, подверженные заболеванию, успешно скрывают страсть к еде, тайно желая избавиться от этой проблемы. Больным кажется, что весь мир от них отвернулся, и они взамен ничего не получают. Эту несправедливость пациенты заедают пищей. В группе риска зачастую оказываются спортсмены, гонящиеся за высокими результатами, а также люди занятые шоу бизнесом, модельным бизнесом, танцами, балетом.
Приступы булимии прогрессируют после личностных ссор, конфликтов, неудач, споров, накативших депрессий, разочарований. Первичные формы булимии отмечаются психологическим дискомфортом. Больной сурово критикует, а также негативно оценивает свои действия, испытывая вину за переедание. Полнейшее выздоровление включает необходимость принять и пропустить через себя проблему заболевания. Скажите себе стоп! Измените свой жизненный график, питание, а также прекратите угождать общественному мнению. Вы живете один раз и собственную жизнь необходимо прожить интересно. Сильный человек живет для себя, а вовсе не для кого-то.
Лечение булимии заключается в формировании индивидуального образа питания, основанного на мере, индивидуальности и получении кайфа.
Еда — это удовольствие, необходимая энергия, которую очень важно планировать.
Медикаментозное лечение булимии включает антидепрессанты, например Флуоксетин. Антидепрессивный эффект Флуоксетина сочетается со стимулирующим. У больного улучшается настроение, снимается напряженность, уходит тревожность, дисфория и чувство страха. Лечебный эффект после препарата ощутим спустя четыре недели после начала терапии. Суточная доза составляет 60 мг в три приема. Пожилым людям суточную дозу рекомендуют снизить. Болеющим анорексией, а так же с печеночной и почечной недостаточностью суточное потребление Флуоксетина уменьшают до 10 мг.
При самых отягчающих обстоятельствах расстройства необходимо обращаться к психиатру и при необходимости больного госпитализируют. Пациента помещают в клинику, где применяют специальные программы по реабилитации.
Прогнозы булимии при своевременном лечении благоприятны. Врач назначит соответствующее обследование, а также изучит историю заболевания. Пациенту будет показана диетотерапия, рекомендованы советы относительно изменения образа жизни. Большинству пациентам результативно помогает групповая психотерапия. Испытывая чувство стыда, больные чувствуют себя намного лучше, когда узнают, что они не одни в своем поведении.
Иногда врачи применяют гипноз или обучают больного технике самогипноза. Цель метода помочь в контроле желания неограниченно съедать пищу. После булимии профилактические меры включают здоровую, адекватную, психологическую обстановку в семье, а также эмоциональную поддержку больного.
Последствия заболевания
Основным последствием булимии выступает ожирение. Булимия и ожирение очень взаимосвязанные между собой заболевания. Если данное расстройство не лечить, то оно способно привести к ожирению. Ожирение проявляется в избыточном отложении жировой ткани человеческого организма из-за постоянного переедания. Заболевание имеет тенденцию хронического прогрессирования, которое приводит к разным недугам, нуждаясь впоследствии в пожизненном лечении.
Зачастую проблема заболевших остается на личном уровне, а лечение сводится к самолечению, что представляет опасность для здоровья. Грамотное и результативное лечение булимии и ожирения осуществляется под руководством врачей. Специалисты могут помочь достичь пациенту желаемого веса и потом держать его постоянно в норме. В настоящий момент врачи относят ожирение к обменному хроническому заболеванию, а главной причиной ожирения считают булимию, которая приводит к нарушению работы мозга, отвечающего за аппетит.
Последствия булимии — это не только лишние килограммы, а и проблема с деснами, с зубной эмалью, с пищеводом, с кишечником, с сердцем, а также сбои в работе печени, почек. К последствиям еще можно отнести неврастению, наркотическую, лекарственную зависимость, утрату интереса к жизни, разрушение отношений с близкими и возможный летальный исход.
Ещё статьи по этой теме:
У кого возникает
Чаще всего булимия развивается у женщин, доля мужчин среди пациентов с пищевым расстройством — 10-15%.
- У кого возникает
- Причины развития
- Симптоматика
- Пищевые нарушения
- Нарушения поведения
- Цель — избавиться от еды и не допустить появление лишнего веса
- Классификация
- Последствия
- Лечение
- Медикаментозная терапия
- Психотерапия
- Как победить булимию самостоятельно, возможно ли это?
- Правильное питание — основа всего!
Как правило, булимический невроз дебютирует в возрасте 12-35 лет, пик возникновения приходится на 18 лет.
Доля учащихся, страдающих булимией, варьирует от 4 до 9%.
Причины развития
Распространенными причинами булимии являются воздействие стресса, последствия перенесенных неоднократных психотравмирующих ситуаций, следствие органического поражения центральной нервной системы.
Предрасполагающим фактором может быть повышенное питание в детском или подростковом возрасте.
Нередко удается обнаружить взаимосвязь между вхождением в новый коллектив, семейными конфликтами, проблемами в сексуальном плане и появлением симптомов булимии. Подобные стрессовые факторы могут запускать возникновение полифагии.
Пищевая булимия — это психическое расстройство, возникающее не на пустом месте. Обязательно должны быть какие-то проблемы, которые человек «заедает».
Как правило, у людей с подобным заболеванием в жизни было немало психотравмирующих ситуаций в детском и подростковом возрасте, была какая-то серьезная проблема, которая запустила развитие болезни. Такие люди зависимы от мнения окружающих, ведь они очень бояться поправиться, бояться, что окружающие узнают об их проблемах с едой.
Почему я на этом останавливаю свое внимание? Да потому, что сколько бы вы не читали про то, как победить булимию, вам не удастся добиться положительного и длительного результата до тех пор, пока вы не решите те проблемы, которые подталкивают человека к болезни.
Более, чем у 40% людей с пищевой булимией также прослеживаются аффективные эпизоды в течение жизни (например, биполярное расстройство, рекуррентное депрессивное расстройство).
Среди пациентов с данным расстройством пищеварения нередки случаи злоупотребления психоактивными веществами (зависимости). Таких лиц отличает чрезмерная тревожность, повышенная импульсивность, проблемы в общении с окружающими.
Симптоматика
Ведущим проявлением булимического невроза является потеря контроля пищевого поведения: у человека вначале возникают приступы переедания, а после он старается избавиться от последствий своего чрезмерного аппетита.
Основные симптомы булимии:
- неудержимое влечение к еде, навязчивые мысли о ней;
- неспособность удержаться от переедания;
- частые эпизоды навязчивого переедания (не менее двух в неделю на протяжении трех месяцев);
- болезненный страх увеличения собственного веса;
- попытки бороться с лишним весом с помощью рвоты, приема слабительных средств, периодов голодания, физических упражнений и т. д.;
- при этом пациенты ощущают чувство вины вследствие неспособность контролировать свои влечения;
- сохранность сексуальной активности и либидо.
А теперь более подробно остановлюсь на перечисленных симптомах.
Пищевые нарушения
Булимия проявляется влечением к пищи компульсивного характера, человека буквально преследуют мысли о ней. Некоторые пациенты, описывая свое состояние, утверждают, что они просто не могут удержаться от переедания.
Читайте также: Обсессивно-компульсивное расстройство личности: почему возникает, как проявляется и лечится.
Во время приступов переедания пациенты могут буквально «заглатывать» пищу, едят ее тайно, впопыхах, могут даже не разжевывать. Как правило, принимаемая во время подобных приступов булимии пища является высококалорийной и мягкой по консистенции.
Довольно часто пациенты не могут наесться, останавливаются лишь тогда, когда начинают ощущать физический дискомфорт — тошноту, боли в эпигастральной области, ощущение вздутия. Приступ обжорства может завершиться и вследствие появления психологического дискомфорта — чувства вины, депрессивных переживаний, неудовлетворенности собой.
Как правило, прием пищи в межприступный период не сопровождается чувством насыщения. Пациенты утрачивают контроль над своим пищевым поведением.
Средняя длительность приступа переедания — около часа.
Наиболее распространенная частота подобных приступов — от одного в день до 1-2 в неделю.
Пациенты отчетливо осознают ненормальность своего пищевого поведения и умело скрывают его от окружающих, даже от близких родственников.
Читайте также: Соматоформное расстройство: проявления и лечение
Нарушения поведения
Нередко такие люди уходят от социальных контактов, перестают общаться с прежними друзьями.
Пищевые нарушения могут сочетаться и с нарушениями поведения. Чаще всего это бывают кражи — клептомания. Такие люди крадут еду, одежду, недорогие украшения.
Недовольство собой, собственным весом, внешностью может приводить к суицидальному поведению, а потому больные нуждаются в повышенном внимании как со стороны врача, так и близких родственников.
Цель — избавиться от еды и не допустить появление лишнего веса
После нескольких эпизодов переедания или тогда, когда человек начинает осознавать, что он начал прибавлять в весе, появляются попытки избавиться от пищи, не допустить появления избыточного веса.
С целью снижения веса пациенты могут прибегать к избавлению от съеденной пищи при помощи рвоты. На начальных этапах для возникновения рвоты пациенты вводят пальцы в полость рта, однако через некоторое время рвота начинает возникать условно-рефлекторно.
Еще одним распространенным средством избавиться от последствий переедания является прием слабительных и мочегонных средств.
На этом изобретательность страдающих пищевым расстройством людей не ограничивается. В ход идут и другие препараты. Это могут быть тиреоидные препараты, применяемые для лечения заболеваний щитовидной железы. Гормональные средства ускоряют обмен веществ, вследствие чего и используются некоторыми пациентами, страдающими полифагией. Чтобы уменьшить влечение к пищи пациенты могут принимать препараты, снижающие аппетит, однако их эффективность незначительная. Вместо того чтобы думать о том, как вылечить булимию, такие люди наносят вред своему организму!
Чтобы избавиться от лишнего веса некоторые лица стараются некоторое время голодать. Но рано или поздно наступает срыв, и нервная булимия, со всеми сопутствующими симптомами возвращается снова.
Еще одним средством борьбы с избыточным весом являются чрезмерные физические нагрузки. При правильно подходе они помогают контролировать весь, однако первопричина все равно остается.
Классификация
Можно условно выделить следующие стадии булимии:
- Начальная — когда пациент только начинает «заедать» стресс: во время проблемных ситуаций такие люди ощущают сильный голод и непреодолимую тягу к еде. Приступы переедания на этой стадии возникают нечасто — несколько раз в месяц.
- Стадия развернутых проявлений — приступы булимии возникают регулярно, не реже двух в неделю. Пациенты психологически страдают от своего обжорства, постоянно борются с лишним весом с помощью рвоты, приема медикаментозных препаратов, их беспокоит непреодолимое чувство вины за свою слабохарактерность, однако самостоятельно преодолеть недуг они чаще всего не могут.
- Если заболевание протекает длительно (не менее 5 лет), то можно говорить о его переходе в хроническую стадию.
Последствия
Последствиями в области ротовой полости, возникающими вследствие частой рвоты, является кариес и парадонтит. Помимо этого систематический вызов рвотного рефлекса может привести к охриплости голоса, повреждению слизистых оболочек верхних дыхательных путей, пищевода и желудка.
Приступы переедания приводят к расширению желудка, а попытки избавиться от его содержимого с помощью рвоты могут осложниться разрывами пищевода или желудка.
Частый прием слабительных и мочегонных средств, как правило, сопровождается обменными нарушениями — снижается уровень калия и хлора в сыворотке крови. А это, в свою очередь, может приводить к нарушению ритма сердечной деятельности (аритмии) вплоть до внезапной остановки сердца, общей слабости, сонливости. Помимо этого может наблюдаться снижение содержания кальция в костях, зубной ткани.
Не стоит забывать, что бесконтрольный прием медикаментозных средств с целью похудения, может привести к нарушению работы щитовидной, поджелудочной железы.
Лечение булимии должно вестись по двум основным направлениям — медикаментозному и психотерапевтическому. Для достижения максимального результата нужно комбинировать препараты от булимии с психотерапевтическими сеансами.
Медикаментозная терапия
Как избавиться от булимии? Какие лекарственные средства дают наилучший результат? Постараюсь ответить на эти вопросы.
Препаратами выбора в лечении булимии являются антидепрессанты. Наилучшим эффектом обладают трициклические антидепрессанты (амитриптилин, кломипрамин, имипрамин, миансерин и др.), а также, при наличии выраженного тревожно-депрессивного компонента, ингибиторы МАО (ниаламид, фенелзин, пирлиндол, моклобемид и т. д.). При лечении булимии обращают внимание не на антидепрессивный эффект препарата, а на его непосредственное воздействие на пищевое поведение.
Читайте также: Страдаете ли вы агорафобией?
Если у пациента обнаруживается нечувствительность к антидепрессантам, тогда в качестве лекарства от булимии могут применяться антиконвульсанты (стабилизаторы настроения) — фенитоин, карбамазепин. Эти препараты также обладают прямым эффектом на пищевое поведение.
Необходимо понимать, что самостоятельный бесконтрольный прием данных препаратов не только не даст положительного результата, а может нанести вред. Выбор лекарственного средства, его дозы, кратности приема, длительности лечения, оценка эффективности или неэффективности препарата — это все в компетенции врача-психиатра.
Психотерапия
Задача медикаментозного лечения — помочь справиться с пищевыми нарушениями, улучшить психическое состояние. Препараты помогут ликвидировать обострение заболевания и выступят в роли мощного удара по булимии.
Но для закрепления эффекта, для того, чтобы не допустить в дальнейшем эпизодов булимии, необходимо разобраться, что же не так с вами, какие проблемы, обиды, комплексы подталкивают вас к полифагии. И в этом незаменимым помощником должна стать психотерапия.
Даже если вы не видите проблемы, это еще не означает, что ее нет. Вероятнее всего, в ходе психотерапевтических сеансов вылезет очень много всего, о чем вы не хотите вспоминать, но что мешает вам нормально жить. И пока вы все это по-настоящему не отпустите, не сможете окончательно преодолеть булимию.
Среди психотерапевтических методик в лечении булимии широко используются методы когнитивно-поведенческой терапии, применяемые как в индивидуальных, так и групповых условиях.
Как победить булимию самостоятельно, возможно ли это?
Если заболевание находится на начальной стадии, тогда при желании можно справиться с болезнью самостоятельно. Однако нужно запастись терпением и тщательно контролировать питание при булимии.
Итак, как справиться с булимией самостоятельно? Какие факторы необходимы для достижения этой цели?
- ваше собственное желание;
- правильное регулярное питание;
- помощь близкого человека.
Хотите, но не знаете, как справиться с булимией? Я вам подскажу. Самое первое — Ваше огромное собственное желание. Вы должны понимать, что заболевание развилось не за один день, а за месяцы и годы. И потому, чтобы преодолеть недуг, выработать у себя правильное пищевое поведение, необходимо время и немалое.
До тех пор, пока Вы сами не захотите справиться с болезнью, не поймете, что это в Ваших силах, и не будете изо всех сил противостоять недугу, это не сможет сделать никто.
Давайте говорить начистоту: ведь никто же не помешает вам купить килограмм пирожных и съесть их за углом? А если вы будете бороться с этим желанием, если купите не килограмм, а 2-3 штуки и медленно их съедите, то это будет ваша собственная победа!
Правильное питание — основа всего!
Чтобы на физиологическом уровне контролировать аппетит, чувство голода и чувство насыщения, необходимо приучить себя регулярно питаться. Питание должно быть дробным, частым и регулярным. И в этом все зависит от Вас. Вы должны наперед планировать свое меню, думать о том, что вы будете есть на завтрак, обед, полдник, ужин. Вы должны стараться избегать таких ситуаций, когда голодным попадаете в места, где еда присутствует в изобилии. Постоянный контроль — вот такого девиза вы должны придерживаться! И тогда булимия обязательно будет побеждена!
В одиночку справиться с болезнью невероятно сложно. Да, не хочется, чтобы окружающие знали о том, что с Вами не все в порядке, но есть периоды, когда очень-очень нужна поддержка близкого человека, его забота, его «стоп», которое поможет Вам вовремя остановиться и не сорваться. А потому подумайте, кому из близких людей Вы доверяете, в ком уверены на все 100%, на кого вы можете положиться, расскажите ему о своей проблеме и попросите о помощи.
Булимия — хроническое заболевание, в вашей жизни будут периоды, когда расстройство снова захочет о себе напомнить. Самое главное в подобных ситуациях — не сдаваться. Да, борьба может быть не легкой, но если вы будете стараться, если поставите перед собой цель справиться с данным расстройством, то у вас обязательно получиться, а Ваша самооценка вырастет. Так что все в ваших силах, помните об этом!
Симптомы булимии и их классификация
Обычно, различают два способа компенсации переедания (чрезмерного употребления пищи) у страдающих булимией:
- после переедания человек пытается придерживаться диеты, и именно так сбалансировать приступы обжорства;
- идёт вызывать рвоту или употребляет специальные препараты.
А также существует классификация, учитывающая зависимость от анорексии:
- первичная – самостоятельная болезнь;
- вторичная – это симптом анорексии.
К основным психологическим и поведенческим симптомам относят:
- неконтролируемое постоянное переедание;
- человек ест так, чтобы не видели другие;
- за небольшой промежуток времени съедает большую порцию;
- прячет в своей комнате еду, чтобы можно было быстро достать;
- не набирает вес;
- частые диеты;
- вызывание рвоты и приём препаратов;
- усердное занятие спортом;
- плохое самочувствие;
- слабость;
- негативное отношение к своему телу;
- усталость;
- нестабильное настроение, которое часто перетекает в депрессию;
- заниженная самооценка.
Поскольку с нарушением употребления пищи связано и физическое здоровье, то возможны и такие признаки со стороны общего состояния здоровья:
- нарушение пищеварительной системы (язва желудка, панкреатит);
- дисфункция почек;
- аминорея – отсутствие месячных;
- аритмия сердца;
- понижение или повышение давления;
- стоматит – воспаление ротовой полости;
- эрозия эмали;
- выпадение зубов;
- нарушение водно-солевого баланса;
- проктологические проблемы, если часто использовать клизмы.
Причины булимии и вызываемые ею осложнения
Одна из причин относится к дисфункции в головном мозге (по сути, это патология). А непосредственно – в центре насыщенности и голода (в гипоталамусе и гипофизе). Также может быть инсулинорезистентность, что тоже подвигает к перееданию.
Более распространённая причина – психологическая. Расстройство развивается в семье, где к ребёнку имели много требований, претензий, ожиданий, возлагали большие надежды. Развивается боязнь опозорить родителей, не соответствовать идеальному образу чада.
В зрелом возрасте такие люди предъявляют слишком высокие требования к себе, имеют низкую самооценку, недовольны своей жизнью. Часто страдают от депрессивных расстройств, испытывают постоянную слабость. Из-за этого замыкаются в себе, остаются в одиночестве.
Еда – это единственная радость и спасение от грусти.
Не последнюю роль играет слабая сила воли. Именно по этой причине некоторые люди не могут удержаться и переходят все границы в употреблении пищи (нападает жор).
Еда выступает как наркотик, от которого невозможно отказаться или уменьшить количество. Такое признание часто делают сами больные булимий.
Если вовремя не заметить проблему, то могут возникнуть такие осложнения:
- энтерит;
- гастрит;
- бесплодие;
- метеоризм;
- заболевание печени;
- сахарный диабет;
- запоры;
- гипотиреоз;
- психические нарушения.
В первую очередь нужно диагностировать причину. Если исследование головного мозга и других систем органов показало, что есть нарушение, то лечением занимается терапевт. Но как правило, это болезнь психогенного характера, поэтому нужно отвести больного к психиатру и психотерапевту.
На индивидуальном сеансе психотерапевт общается с пациентом и пытается узнать, что стало причиной такого переедания. Исходя из фактора, подбирается направление, которое наиболее подходит в данном конкретном случае. Как правило, это когнитивно-поведенческая терапия.
Кроме этого, психолог может давать различные тесты. Например, для изучения самооценки клиента, его эмоционального фона. Если есть депрессивное или тревожное расстройства, назначают соответствующие препараты: антидепрессанты и седативные.
Удачи вам! До скорых встреч на страницах блога KtoNaNovenkogo.ru
Вам может быть интересно
Анорексия — это желание скинуть вес или серьёзное заболевание
Что такое триггер
Депрессия — это плохое настроение или психическое заболевание
Цинизм — это когда что-то ценят или наоборот
Что такое эгоизм и эгоцентризм — в чём между ними разница
Маргинал или изгой общества
Паранойя — это ощущение, что тебе все хотят навредить
Кто такой трансгендер и как люди ими становятся
Что такое легитимность простыми словами
* Нажимая на кнопку «Подписаться» Вы соглашаетесь с политикой конфиденциальности.
Подборки по теме
- Вопросы и ответы
- Использую для заработка
- Полезные онлайн-сервисы
- Описание полезных программ
Использую для заработка
- ВоркЗилла — удаленная работа для всех
- МираЛинкс — платят за размещение статей
- ГоГетЛинкс — монетизация сайтов
- Анкетка — платят за прохождение тестов
- Etxt — платят за написание текстов
- Кьюкоммент — биржа комментариев
- Поиск лучшего курса обмена
- 60сек — выгодный обмен криптовалют
- МоеМнение — бонусы за прохождение опросов
- Бинанс — надёжная биржа криптовалют
- ВкТаргет — заработок в соцсетях (ВК, ОК, FB и др.)
Булимия – лечение, симптомы, причины, нервная булимия как расстройство психики
Психическое расстройство, возникающее при приеме пищи называется булимией или нервной булимией.
Это заболевание характеризуется чувством приступообразного непреодолимого голода и резким усилением аппетита.
Во время таких приступов больные теряют способность контролировать количество поглощаемой пищи. Булимия как расстройство психики поражает в основном молодых женщин с нестойкой психикой.
Причины и симптомы булимии
Причин возникновения булимии много. Сюда входят нарушения психического здоровья, плохая самооценка, наследственность, проблемы личного характера и их «заедание», желание довести свое тело до неких стандартов, сильная депрессия, недостаток минералов и солей в организме, повышенный уровень тревожности.
Существует два типа данного заболевания психики. К первому типу относится классическая булимия, ко второму типу – болезнь в стадии анорексии. Причины и симптомы булимии для обоих типов неодинаковы.
Больные булимией первого типа после приема большого количества еды тут же начинают от нее избавляться, путем вызова рвоты, слабительных клизм или диуретиков. Больные вторым типом булимии, напротив, принимают очень ограниченное количество пищи, усиленно занимаются спортом и не применяют способы избавления от съеденной пищи.
К симптомам заболевания включают большой аппетит, резкие и сильные боли под ложечкой, общую слабость. Также симптомами булимии являются царапины и ссадины на пальцах рук, возникшие при вызове рвоты, обезвоживание организма от применения диуретинов, воспаление пищевода, неврастения, болезни сердца.
перейти наверх
Очень мало людей, особенно среди женщин, которые были бы довольны своей внешностью. Многие из женщин не могут с этим смириться. Пытаясь сделать свою фигуру идеальной или хотя бы приблизить к существующим стандартам красоты, они прибегают к длительным изнурительным диетам.
По окончании диеты, изголодавшись, человек набрасывается на пищу, выбирая самые красивые и крупные кусочки, отдавая предпочтение сладостям. В это время контроль над количеством съеденного практически отсутствует. Такая зависимость и называется нервной булимией.
Этим заболеванием страдали многие известные люди – актриса Джейн Фонда, певец Элвис Пресли, фотомодель Кейт Мосс, принцесса Диана.
Неуверенные в себе ранимые люди, находясь в состоянии постоянного стресса от одиночества, скованности различными условностями стараются заглушить в себе это состояние удовольствием от процесса поглощения еды.
перейти наверх
Булимия и анорексия
Суть этих типов булимии одна. Первая – это нервное обжорство и освобождение желудка от пищи, чтобы не поправиться, вторая – отказ от приема пищи, чтобы похудеть.
Обычно после бесконтрольного приема пищи больные ощущают угрызения совести, сомнения. Больные булимией могут скрывать свое заболевание, поддерживая длительное время нормальный вес и форму.
Анорексических больных можно сразу определить по их худобе.
Часто анорексия может переходить в булимию, а булимия в анорексию. Причиной болезни всегда являются частые диеты. Поэтому, начиная очередную диету, следует подумать, не навредит ли она здоровью человека. Молодые люди, находясь на этапе развития личности, больше обращают внимание на внешние стандарты, забывая о физическом здоровье и духовном становлении.
Соблюдая диеты, человек на короткое время добивается желаемого стандарта. Однако после этого обязательно наступит срыв, после которого пропадает уверенность в себе и уважения себя, как личности.
Если человек уже находится во власти булимии и анорексии, вернуться к прежней нормальной жизни ему будет очень трудно.
Здесь можно порекомендовать прекратить скрывать свое расстройство и обратиться к специализированным врачам, так как оно чрезвычайно опасно для физического и психического здоровья, несет с собой расстройство личности и потерю нормального образа жизни.
перейти наверх
Классификация
Выделяют:
- Первичную нервную булимию. Характеризуется неконтролируемым желанием к потреблению пищи и постоянным голодом.
- Булимию, возникшую у пациентов с анорексией. У анорексиков в некоторых случаях появляются приступы переедания, что в последующем вызывает чувство вины и соответственно приводит к попыткам очищения ЖКТ через рвоту.
Установлено, что булимия протекает в двух вариантах:
- При первом варианте после приступов чрезмерного потребления еды больные используют всевозможные способы очищения – вызывают рвоту, принимают слабительные, ставят клизмы.
- При втором варианте контроль над собственным весом осуществляется с помощью жестких диет, после которых случаются новые приступы обжорства.
Причины
Причин булимии достаточно много, подразделяют их на три группы – органические, психогенные и социальные.
К органическим первопричинам булимии относят:
- патологии обменных процессов;
- сахарный диабет;
- токсические или опухолевые поражения мозга, затрагивающие гипоталамус;
- гормональный дисбаланс;
- врожденные заболевания, оказывающие влияние на структуру мозга.
Булимия может быть наследственной патологией, выявлены случаи, когда от пищевого расстройства страдают сразу несколько кровных родственников.
По наследству переходит склонность к перееданию, так проявляется особенность эндокринной системы и дефицит гормонов, контролирующих аппетит.
Социальные причины заболевания связаны с отношением общества к фигуре человека. Отмечается рост пациентов с булимией в тех государствах, где вес является значимым критерием оценки внешности и статуса.
Чаще всего булимия развивается под влиянием психогенных причин, к ним относят:
- жизненные неудачи и стрессы;
- неприятие обществом;
- одиночество;
- негативные эмоции;
- желание похудеть без ограничения себя в еде.
Социальные причины пищевого расстройства могут перейти в психогенные. Страх перед появлением лишних килограммов перерастает в стресс, который проще всего устраняется вкусной пищей.
Очень часто склонность к пищевым расстройствам закладывается еще в раннем детском возрасте.
К психологическим травмам, провоцирующим развитие булимии, относят:
- частое чувство голода у младенца на первом году жизни;
- недостаток родительской любви;
- напряженные отношения со сверстниками в подростковый период;
- поощрение едой за примерное поведение и оценки.
У ребенка под влиянием выше перечисленных факторов возникает ложное представление о том, что самый простой путь получения удовольствия – прием пищи. Поэтому при любых стрессах начинается их «заедание» даже если физиологического чувства голода нет.
Булимия – это не просто расстройство пищевого поведения, но и нарушения в работе нервной системы. С пациентами обязательно должен работать психотерапевт, в противном случае лечение может привести только к временному облегчению.
Симптоматика
Выделяют три критерия, на основании которых уже можно точно выставить диагноз булимия:
- у пациента отмечается неконтролируемая тяга к пище. Больной ест торопливо, употребляет несочетаемые между собой и даже просроченные продукты, съедаемый объем пищи в разы отличается от нормальной порции;
- используются неадекватные способы контроля над весом – стимуляция рвоты, прием мочегонных и слабительных, клизмирование.
- самооценка зависит от веса и формы фигуры на конкретный момент.
Булимики обычно замкнуты и подавлены, настроение у них повышается в период приема пищи. После утоления аппетита больные испытывают раскаяние, что еще сильнее усиливает их депрессивное состояние.
В течение булимии выделяют три стадии. При легкой стадии пищевого расстройства срывы неконтролируемого поглощения еды случаются до двух раз в месяц.
Но со временем болезнь неизбежно прогрессирует, что провоцирует изменения со стороны работы почти всех внутренних органов.
Постоянное выведение пищи с рвотой становится причиной хронического раздражения слизистого горла и ротовой полости, что соответственно вызывает фарингиты, стоматит, кариес.
У больных отмечается повышенная работа слюнных желез, дряблость и сухость кожи.
Булимики – эмоционально неустойчивые, тревожные и неуверенные в себе люди. Несмотря на то, что больные постоянно искусственно избавляются от потребляемой пищи, их вес в отличие от пациентов с анорексией сохраняется на нормальном уровне или бывает несколько повышенным.
Происходит это вследствие того, что поглощаемая еда дает много калорий и дефицита в основных питательных веществах не возникает.
Для булимии характерна другая проблема. Использование слабительных и мочегонных средств приводит к тому, что организм теряет часть необходимых ему биологически активных веществ и к нарушению водно-солевого баланса.
В свою очередь это вызывает серьезные нарушения со стороны органов пищеварения, сердечно-сосудистой системы, меняет кроветворение, работу почек и печени.
В большинстве случаев булимики не признают свою проблему, считая, что с приступами обжорства они могут сами справиться усилием воли. Очень часто и близкие люди не подозревают о заболевании у своего родственника.
Но пациенты с булимией нуждаются в серьезном лечении, так как в запущенных случаях болезнь может закончиться летальным исходом.
Заподозрить булимию у близкого человека можно по следующим признакам:
У мужчин с булимией нарушается половая функция. У женщин меняется менструальный цикл, дефицит микроэлементов и нарушения со стороны обменных процессов могут стать причиной бесплодия.
Особенно опасны приступы булимии в период беременности, так как они влияют на развитие плода.








