Пилоростеноз у новорожденных — это врожденный порок развития привратникового отдела (в медицине он носит название «пилорический») желудка, возникающий под действием генетических факторов и провоцирующий рвоту у детей.
Встречается заболевание у 1-3 малышей на 1000, причем мальчики, по разным данным, страдают в 5-7 раз чаще, чем девочки. В чем же выражается патология? Для начала давайте вспомним основные функции привратниковой зоны.
Привратник представляет собой последний отдел желудка. Его мышца, известная под названием сфинктер, регулирует движение полупереваренной пищи (химуса), пропуская ее порциями в двенадцатиперстную кишку и далее в кишечник. Кроме того, сфинктер пропустит только достаточно переваренную пищу, ту, которая не причинит вреда слизистой тонкого кишечника.
Если нет никаких патологий, содержимое из желудка двигается лишь в одном направлении: сверху вниз. Однако резкое сужение просвета привратникового канала (стеноз) приводит к постоянной рвоте и нарушению обмена веществ. Насколько будут выражены клинические симптомы, зависит от степени сужения и компенсаторных способностей организма.
Причины развития
На сегодняшний день причины развития заболевания мало изучены. То, что оно врожденное, позволяет предположить, что влияние оказывает:
- Наследственная предрасположенность
. Если у одного из родителей в детстве был диагностирован пилоростеноз, вероятность обнаружения его у ребенка возрастает в разы. - Внутриутробные патологии
: токсикоз беременной; перенесение вирусных инфекций матерью во время вынашивания; сбои в работе эндокринной системы мамы; прием медикаментов.
В чем опасность
Прежде всего из-за уменьшения сократительной способности пища не в состоянии нормально эвакуироваться, а сам желудок растягивается. Содержимому куда-то нужно деваться, поэтому происходят частые рвоты, при нарастании симптомов они буквально фонтанируют.
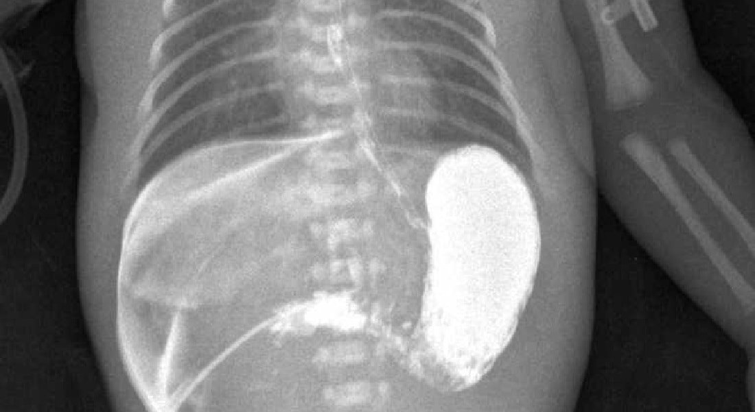
Сужение пилорического отдела нарушает нормальное функционирование пищеварительного тракта и опасно для жизни. На центральном фото внизу виден симптом «песочных часов», когда желудок выпирает в виде двух бугорков
Вместе с рвотными массами происходит потеря жидкости, в результате чего нарушается водно-электролитный баланс, сгущается кровь, организму не хватает витаминов и микроэлементов. У всех детей наблюдается алкалоз (смещение уровня pH крови в сторону ощелачивания). Заболевание, оставленное на самотек, приводит к летальному исходу.
Симптомы
Болезнь проходит три стадии, для каждой из которых характерны свои симптомы, либо они просто усиливаются.
Стадия компенсации
На данном этапе отсутствуют клинические признаки заболевания. Есть чувство тяжести, тошнота, но младенец не может пока об этом рассказать. Начинающаяся рвота приносит временное облегчение. На рентгене видна активная перистальтика, пилорический канал сужен, а желудок увеличен в размерах. Пища из желудка продвигается медленно, с опозданием на 6-10 часов.
Стадия субкомпенсации
Рвота наблюдается каждый день, принося с собой облегчение. Боли в животе имеют приступообразный характер, с чувством колик. Отрыжка по запаху напоминает тухлые яйца. На фоне ежедневной рвоты резко снижается масса тела. Ребенок вялый, слабенький. Перистальтика в процессе осмотра живота хорошо видна.
Декомпенсационная стадия
Рвота обильная, фонтанирующая, содержащая фрагменты непереваренной пищи. Боль и распирание в эпигастральной области. Присутствуют признаки обезвоживания: сухость кожи, снижение тургора, пересыхание слизистой рта. Контуры увеличившегося в размерах желудка четко прослеживаются через брюшную стенку. Перистальтика очень слабая, поэтому химус эвакуируется с задержкой до 2 суток и больше. Артериальное давление снижено, кожные покровы бледные, уменьшено количество выделения мочи.
Рвота фонтаном после кормления — сигнал повышенной тревоги, означающий, что за медицинской помощью нужно обращаться срочно, если, по какой-то причине вы еще этого не сделали
Итак, основные симптомы пилоростеноза у новорожденного следующие:
- рвота нарастающего характера по прошествии 20 минут после принятия пищи;
- рвотные массы по количеству превышают съеденный объем; запах неприятный, но желчь отсутствует;
- стула очень мало, темного цвета; это объясняется минимальным содержанием молочной продукции и наличием желчи;
- мочеиспускание редкое и небольшое по объему. Консистенция мутная, концентрированная;
- симптом «песочных часов» – при осмотре живота отчетливо видна перистальтика и два округленных выпячивания с сужением между ними;
- «голодное» выражение лица с заостренными формами.
Диагностика
Окончательный диагноз ставят после сбора анамнеза (когда симптоматика ярко выражена), осмотра и пальпации животика, а также применения инструментальных и лабораторных методов исследования.
Осмотр живота выявляет расширение эпигастральной области, которое отчетливо визуализируется на фоне запавших нижних отделов пищеварительного тракта. Иногда даже можно прощупать привратник. На животике малыша можно увидеть контуры увеличенного желудка и перистальтику. Анализы крови показывают завышенные цифры гемоглобина, сниженное СОЭ.
Обязательно диагностика включает проведение гастродуоденоскопии и УЗИ. Делается рентген с контрастным веществом (барием). На снимке видно суженый отдел привратника, на месте мышц прослеживаются плотные тяжи.
Существует еще ряд заболеваний, сопровождающихся рвотой в младенчестве, поэтому при поступлении в больницу проводится дифференциальная диагностика на пилороспазм, гнойный менингит, внутричерепную травму при родах, халазию и ахалазию пищевода, диафрагмальную грыжу, раковый стеноз и другие болезни.
Что такое пилороспазм?
Пилороспазм — это сокращение пилорического отдела желудка вследствие нарушения его иннервации. Он также нуждается в лечении, но только в консервативном. Как же его отличить от пилоростеноза?
Лечение
Чем раньше поставлен правильный диагноз, тем быстрее можно начинать лечение: в данном случае речь идет об оперативном вмешательстве. Операция не терпит отлагательств, но все же требует подготовки. Поэтому проводят ее, как правило, на 2-3 день после установления диагноза.
Дооперационная подготовка включает восстановление водно-электролитного баланса и восполнение дефицита микроэлементов. Для этого ребенку инфузионно вводят различные растворы. Если есть сопутствующие воспалительные заболевания, назначается лечение антибактериальными препаратами.
Основная задача хирургов — восстановить просвет привратника, но при этом сохранить желудок целым
Пилоротомия (так называется операция, когда рассекается привратник) проводится по методу Фреде-Рамштедта. В ходе устранения анатомического препятствия эвакуации химуса, проходимость пилорического канала приходит в норму. Кормление грудным молоком (или смесью) в послеоперационный период дозированное. То есть кроху кормят часто, но маленькими порциями. Если все прошло успешно, маленьких пециентов выписывают домой на 8-9 сутки.
Возможные осложнения
Если ребенка привезли в «запущенном» состоянии, могут развиться такие осложнения:
- аспирационная пневмония — попадание рвотных масс в органы респираторной системы и развитие воспаления;
- изъязвление слизистой желудка;
- дисбаланс электролитного кровеносного состава наряду с обезвоживанием;
- сепсис (заражение крови), приводящий к летальному исходу.
Прогнозы на будущее
После своевременного и правильного лечения прогноз благоприятный. Желудочно-кишечный тракт работает нормально, а малыш чувствует себя хорошо. Периодически ребенка наблюдает гастроэнтеролог, чтобы убедиться, что все в порядке.
Как видим, лечение пилоростеноза у новорожденного не терпит отлагательств. Если у грудничка в первые 3-4 недели после рождения не прекращаются ежедневные рвоты, обязательно обратитесь к врачу. Своевременное оказание помощи — залог здоровья вашего крохи.
При возникновении рвоты у вашего ребёнка, не стоит паниковать, а следует обратиться к педиатру, который осмотрит малыша и назначит дополнительные обследования.
Определение понятия и основы анатомии пилорического отдела желудка
Пилоростеноз – это непроходимость пилорического отдела желудка.
Чтобы разобраться в патологии, необходимо знать нормальное строение органа. Желудок имеет бобовидную форму, большую и малую кривизну, условно его можно разделить на несколько отделов:
- кардиальный отдел – это место, где пищевод переходит в желудок, имеет кардиальный жом, который препятствует возвращению пищи из желудка обратно в пищевод;
- дно – куполообразный свод, находящийся в верхней части желудка, несмотря на своё название;
- тело – основная часть желудка, в которой происходит процесс переваривания;
- пилорический отдел (привратник) – зона перехода желудка в двенадцатиперстную кишку, в данном отделе расположен пилорический жом, который при расслаблении пропускает обработанную желудочным соком пищу в двенадцатиперстную кишку, в закрытом состоянии сфинктер препятствует преждевременному переходу непереваренной пищевой массы.
Пилорический отдел имеет воронкообразную форму, он постепенно сужается к низу. Длина его составляет около 4 — 6 см. В привратнике мышечный аппарат более развит, чем в теле желудка, а слизистая оболочка с внутренней стороны имеет продольные складки, образующие пищевую дорожку.
Врождённый пилоростеноз – это непроходимость пилорического отдела желудка за счёт гипертрофии мышечного слоя.
Этиология пилоростеноза
Впервые подробное описание врождённого гипертрофического пилоростеноза предоставил Гиршпрунг в 1888 -м г. В настоящее время заболевание считается достаточно распространённым, его частота — 2:1000 новорождённых. Основной процент составляют мальчики (80%), чаще от первой беременности.
Точная причина возникновения пилоростеноза не известна. Выделяют факторы, способствующие развитию заболевания:
- незрелость и дегенеративные изменения нервных волокон пилорического отдела;
- повышение уровня гастрина у матери и ребёнка (гастрин – гормон, который вырабатывается G-клетками пилорического отдела желудка, он отвечает за правильную работу пищеварительной системы);
- факторы окружающей среды;
- генетический фактор.
Пилоростеноз хоть и является врождённым заболеванием, но изменения привратника у ребёнка возникают не внутриутробно, а в постнатальном периоде. Утолщение мышечного слоя привратника происходит постепенно, поэтому клинические симптомы проявляются со 2 — 3 недели жизни, когда просвет пилорического отдела значительно сужен.
Основным проявлением заболевания является рвота. Чаще со второй недели жизни малыша спонтанно появляется рвота «фонтаном» — большим объёмом, интенсивная. Она чаще возникает в перерывах между кормлениями. Рвотные массы застойного характера, молоко со створоженным осадком, ощущается кислый запах, никогда нет примеси жёлчи. Объём рвотных масс чаще всего превышает объём кормления. С каждым днём рвота становится чаще и с большим объёмом.
Ребёнок становится беспокойным, капризным, с жадностью ест, выглядит голодным. По мере прогрессирования заболевания отмечаются выраженные нарушения питания – отмечается убыль массы тела, исчезает подкожно-жировая клетчатка, кожа становится дряблая и сухая. Стул отходит реже, небольшим объёмом и носит название — «голодный стул». Объём мочеиспускания также уменьшается.
Со рвотой ребёнок теряет не только питательные вещества молока, но и необходимые минералы своего организма. Чем позднее поставлен диагноз пилоростеноза, тем более выражены у ребёнка признаки обезвоживания, возникают электролитные нарушения. При острой форме течения болезни, данная симптоматика развивается очень быстро и приводит к тяжёлому состоянию малыша в течение недели.
На основании жалоб матери уже можно предположить диагноз пилоростеноза.
В настоящее время можно встретить детей, которых лечили от рвоты и срыгивания консервативно, что стирает яркую клинику пилоростеноза. Встречаются дети с подтверждённым диагнозом, но не имеющие дефицита массы тела и признаков обезвоживания.
При осмотре передней брюшной стенки ребёнка, особенно после кормления, можно увидеть усиленную перистальтику желудка – симптом «песочных часов». Он не всегда явно выражен и чаще встречается на поздних стадиях заболевания.
При пальпации живота определяется плотное подвижное новообразование немного правее пупочного кольца – гипертрофированный привратник. Иногда пилорус находится выше и не доступен пальпации из-за нависающей над ним печени. Также глубокая пальпация живота не всегда доступна из-за беспокойства ребёнка и активного напряжения мышц.
Основным методом дополнительного обследования для постановки диагноза является ультразвуковое исследование органов брюшной полости. Желудок увеличен в размерах, содержит большое количество воздуха и жидкости, стенка его утолщена. Пилорический отдел сомкнут очень плотно, не раскрывается. Толщина стенки привратника достигает 4 мм и более за счёт утолщения мышечного жома, длина пилорического канала достигает 18 мм.
Также дополнительным методом исследования является рентгеконтрастирование – пассаж бария по ЖКТ. Хотя рентгенологическое исследование несёт лучевую нагрузку, оно является информативным и позволяет точно определить проходимость привратника. Ребёнку через рот даётся около 30 мл контрастного вещества (5% взвеси бария в или 5% растворе глюкозы). Обзорная брюшной полости выполняется через час и четыре часа, после дачи контраста. При пилоростенозе на снимке будет определяться большой газовый пузырь желудка с одним уровнем жидкости. Эвакуация контраста из желудка в двенадцатиперстную кишку замедлена. После проведения обследования желудок необходимо опорожнить, чтобы при последующей рвоте предотвратить аспирацию бария.
Одним из методов диагностики врождённого пилоростеноза является видеоэзофагогастроскопия (ВЭГДС), но детям этот вид обследования можно провести только под наркозом. При этом, отдел желудка перед привратником расширен, просвет пилорического канала значительно сужен, не проходим для гастроскопа, не раскрывается при раздувании воздухом (что является отличием от пилороспазма). Кроме того, при ВЭГДС можно осмотреть слизистую пищевода и определить степень воспалительных изменений, что очень характерно при рефлюксах.
Данные лабораторных исследований будут отражать метаболический алкалоз, гипокалиемию, гипохлоремию, снижение объёма циркулирующей крови, падение уровня гемоглобина.
Дифференциальная диагностика
Дифференциальный диагноз пилоростеноза проводят с пилороспазмом, желудочно-пищеводным рефлюксом, псевдопилоростенозом (сольтеряющая форма адреногенитального синдрома) и высокой непроходимостью двенадцатиперстной кишки.
Дифференциальная диагностика проводится на различии начала и характера проявления болезни.
При адреногенитальном синдроме в рвотных массах будет примесь жёлчи, объём мочеиспускания увеличится, каловые массы будут разжиженными. При проведении дополнительных методов обследования привратник будет хорошо проходим, в лабораторных анализах, в противоположность, будет метаболический алкалоз и гиперкалиемия.
При желудочно-пищеводном рефлюксе заболевание проявляется с первых дней жизни малыша, рвота и срыгивания будут сразу после кормления и при горизонтальном положении ребёнка. При дополнительных исследованиях привратник будет проходим, а на ВЭГДС в пищеводе будет выраженный рефлюкс-эзофагит, вплоть до язв слизистой.
При высокой двенадцатиперстной непроходимости рвоты чаще всего начинаются сразу после рождения ребёнка. При рентгеноконтрасном исследовании будет определяться два уровня жидкости – в желудке и двенадцатиперстной кишке. ВЭГДС точно покажет уровень стенозирования.
При установленном диагнозе пилоростеноз лечение только оперативное. Основная задача операции – устранение анатомического препятствия и восстановление проходимости пилорического отдела желудка.
Оперативному вмешательству обязательно должна предшествовать предоперационная подготовка, корректирующая гиповолемию, восполняющая объём циркулирующей крови, устраняющая электролитные нарушения, гипопротеинемию и анемию. Также необходимо достижение адекватного диуреза. Подготовка проводится в условиях интенсивной терапии и может занять от 12 до 24 часов в зависимости от тяжести состояния малыша.
Операцией выбора является внеслизистая пилоромиотомия по Фреде-Рамштедту. Впервые экстрамукозные операции были выполнены Фреде в 1908 году и Рамштедтом в 1912 году. Операция проводится только под наркозом. Выполняется разрез передней брюшной стенки, выводится резко утолщённый пилорический отдел желудка, продольно рассекается серозный и мышечный слой в бессосудистой зоне. Слизистая оболочка остаётся целостной.
В настоящее время широкое распространение получили лапороскопические операции. Основной смысл и ход операции не меняются. А вот доступ в брюшную полость осуществляется через три небольших прокола передней брюшной стенки, и операция проходит под видеоконтролем.
Осложнениями операции могут быть перфорация слизистой привратника, кровотечение, неполная пилоромиотомия и развитие рецидива заболевания.
После окончания операции ребёнок переводится в палату интенсивной терапии. Через 4 – 6 часов после неё малыша начинают понемногу поить 5% раствором глюкозы, затем дают по 5 — 10 мл молока каждые 2 часа. При этом дефицит жидкости, электролитов и белка восполняется за счёт инфузионной терапии и парентерального питания. В последующие сутки количество молока увеличивают на 10 мл при каждом кормлении. К шестым суткам после операции ребёнок должен усваивать по 60 — 70мл каждые 3 часа, в дальнейшем малыша переводят на обычный режим питания.
Швы снимаются на 7-е сутки после операции, при отсутствии осложнений, ребёнок выписывается на амбулаторное наблюдение.
Прогноз при пилоростенозе благоприятный. После выписки дети должны находиться на диспансерном учёте у педиатра для коррекции гиповитаминоза и анемии до полного выздоровления.
Пилоростеноз (син. стеноз привратника желудка) у детей является врождённой патологией, однако иногда может развиваться у взрослых людей. Гастроэнтерологи отмечают, что подобный недуг — это одна из самых распространённых аномалий развития желудка, которая встречается в педиатрии и требует немедленного врачебного вмешательства. Характерной чертой является то, что подобное расстройство в несколько раз чаще встречается у мальчиков, нежели у девочек. Болезнь имеет собственное значение в международной классификации заболеваний. Код по МКБ-10 – Q40.0.
Заболевание имеет несколько специфических симптомов, среди которых стоит отметить так называемый синдром «песочных часов» и обильную рвоту сразу после кормления.
В большинстве случаев, такое расстройство диагностируется на первом месяце жизни малыша при помощи инструментальных диагностических обследований. Пилоростеноз у новорождённых лечится только при помощи хирургического вмешательства.
Этиология
Пилорический отдел желудка, или привратник, представляет собой дистальную часть этого органа, которая примыкает к ДПК и включает в себя антрум (конечная часть пилорического отдела) и канал привратника. Такая часть желудка выполняет роль резервуара, в котором скапливается частично непереваренная пища, откуда происходит транспортировка содержимого в 12-перстную кишку. При врождённом пилоростенозе значительно затрудняется процесс прохождения пищи через отдел привратника, что становится причиной её скопления в желудке и проявления клинической картины подобного заболевания.
Такое расстройство является довольно распространённым в педиатрии, поскольку встречается примерно один раз на триста новорождённых. Тем не менее основные причины его формирования не до конца изучены. Однако установлено несколько предрасполагающих факторов появления недуга у грудных детей. К ним можно отнести:
- отягощённую наследственность. Клиницистами отмечено, что наличие подобной патологии у одного из родителей увеличивает шансы его формирования у ребёнка в сто раз;
- применение антибиотиков в первые две недели жизни малыша;
- неблагоприятное протекание беременности, которое может осложняться тяжёлым токсикозом или такими опасными состояниями, как эклампсия или преэклампсия;
- перенесённые на раннем сроке вынашивания ребёнка болезни инфекционного или вирусного характера;
- наличие эндокринных расстройств у матери;
- беспорядочный приём лекарственных препаратов во время вынашивания малыша;
- внутриутробные инфекции, например, краснуха, герпес или цитомегаловирус;
- высокий уровень гастрина в женском организме;
- влияние на организм неблагоприятных условий проживания, химических веществ или облучений.
Пилоростеноз у взрослых является приобретённым расстройством, а точнее, вторичным. Зачастую развивается на фоне:
- пептических язв в желудке, которые довольно близко расположены к привратнику;
- онкологического процесса в ДПК;
- ракового поражения желудка;
- болезни Крона;
- воспаления аппендикса и другие заболевания органов пищеварительной системы;
- патологий желчных протоков;
- формирования спаечного процесса.
При этом происходит процесс сужения привратника из-за рубцовой ткани или злокачественного новообразования. На фоне такого заболевания происходит практически полное замещение пилорического отдела желудка плотной и плохо растяжимой соединительной тканью, а выходное отверстие этого органа значительно сужается, в некоторых случаях вплоть до микроскопически тонкого отверстия.
Именно это приводит к появлению симптомов у взрослых, похожих на клиническую картину пилоростеноза у неврожденных.
Классификация
В гастроэнтерологии есть только одна классификация подобного расстройства – по степени протекания патологического процесса. Таким образом, существует несколько форм недуга:
- компенсированная – характеризуется незначительным проявлением симптоматики;
- субкомпенсированная – отличается ухудшением состояния пациента и более ярким выражением признаков по сравнению с предыдущей стадией;
- некомпенсированная – наблюдается сильное истощение и признаки обезвоживания организма.
Симптоматика
Поскольку недуг встречается как у взрослых, так и у детей, то клиническая картина в зависимости от возрастной категории будет несколько отличаться.
Симптомы пилоростеноза у взрослых:
- постоянная тяжесть и дискомфорт в области желудка;
- приступы тошноты и рвоты сразу же после трапезы. Стоит отметить, что рвотные позывы значительно улучшают состояние человека;
- сильный болевой синдром, который носит распирающий характер;
- отрыжка с неприятным запахом недавно употреблённых продуктов;
- снижение массы тела;
- отвращение к пище, что обусловлено проявлением вышеперечисленных проявлений;
- признаки витаминной и минеральной недостаточности.
У детей врождённый гипертрофический пилоростеноз будет выражаться следующими признаками:
- рвотой «фонтаном» сразу же после кормления. При этом может выделяться ровно столько же или более молока и жидкости, по сравнению с тем объёмом, что был съеден. Рвота постоянно усиливается и имеет кисловатый запах, но не имеет примесей желчи;
- синдромом «песочных часов» — обнаруживается во время осмотра и характеризуется отчётливым выделением перистальтики и двух выпячиваний округлой формы с сужением;
- снижением массы тела малыша, что происходит на фоне обильной рвоты;
- признаками обезвоживания организма;
- потемнением каловых масс;
- уменьшением частоты мочеиспускания;
- помутнением мочи;
- нарушением стула, что выражается в запорах;
- сонливостью;
- западением родничка;
- потерей эластичности кожного покрова.
Подобные симптомы такого заболевания начинают проявляться в промежутке со второй по четвёртую неделю жизни ребёнка. При игнорировании симптоматики, в особенности специфической рвоты, может привести к коматозному состоянию или летальному исходу пациента. Это обуславливается тем, что новорождённый ребёнок не сможет долгое время прожить без питания.
Диагностика
Установление правильного диагноза носит комплексный характер, однако наибольшей диагностической ценностью обладают инструментальные обследования. Перед их назначением диагностика проходит несколько этапов.
Первичная диагностика направлена на:
- проведение опроса пациента или его родителей;
- изучение истории болезни и анамнеза жизни пациента;
- выполнение тщательного физикального осмотра, который обязательно должен включать в себя пальпацию передней стенки брюшной полости – для выявления специфических признаков недуга.
Такие мероприятия позволят гастроэнтерологу выяснить некоторые причины формирования недуга, а также определить стадию его протекания.
Лабораторные исследования направлены на общее и биохимическое исследование крови, мочи, а также микроскопическое изучение каловых масс.
К инструментальным методам можно отнести:
- УЗИ – это самый распространённый и эффективный способ, необходимый для обнаружения подобного заболевания. Во время процедуры отмечается утолщение привратника и увеличение его объёмов, а именно толщины – на четыре миллиметра, длины – примерно на полтора сантиметра;
- ФЭГДС – это эндоскопическая процедура изучения внутренней поверхности пищевода, желудка и 12-перстной кишки. Осуществляется при неинформативности предыдущего обследования;
- рентгенографию поражённого органа – применяется в редких случаях.
Такие мероприятия помогают клиницисту не только поставить правильный диагноз, но также провести дифференциальную диагностику такого расстройства с такими недугами, как:
- ГЭРБ;
- грыжа пищеводного отверстия диафрагмы;
- кишечная непроходимость;
- атрезия или стеноз ДПК;
- пилороспазм. Пилоростеноз и пилороспазм – это два очень похожих состояния, характеризующиеся сужением привратника желудка. Отличием является то, что в первом случае патология обуславливается чрезмерным разрастанием мышц, а во втором – сужение обуславливается напряжением и сокращением мышц этого органа. Оба состояния обратимы, но только пилороспазм не требует хирургического вмешательства.
Лечение
Единственный способ устранения пилоростеноза у детей и взрослых является хирургическое вмешательство. Однако оперативное лечение требует подготовки пациента, которая направлена на восполнение дефицита жидкости и состоит из:
- введения глюкозо-солевых растворов;
- симптоматического лечения при помощи медикаментов;
- переливания крови или плазмы.
При пилоростенозе осуществляется пилоромиотомия, которая предусматривает:
- рассечение гипертрофированных мышц;
- восстановление проходимости канала привратника.
Операция выполняется несколькими способами – трансумбиликально или лапаротомически.
Послеоперационное восстановление заключается в дозированном кормлении малыша. Зачастую хирургическое вмешательство позволяет пациенту полностью избавиться от симптомов заболевания.
Осложнения
В случаях игнорирования клинического проявления недуга или при несвоевременно начатом лечении существует вероятность развития тяжёлых последствий. К ним можно отнести:
- язву привратника;
- кровоизлияния в ЖКТ;
- анемию;
- сепсис;
- задержку в развитии и росте ребёнка.
Кроме этого, на фоне обильной и упорной рвоты могут появиться:
- аспирационная пневмония;
- отит;
- асфиксия;
- обезвоживание;
- кома.
Такой процесс, как аспирация рвотных масс может привести к летальному исходу.
Профилактика
Специфических профилактических мероприятий от врождённого пилоростеноза не существует. Однако есть несколько рекомендаций, которые должны соблюдать женщины в период беременности:
- вести здоровый образ жизни;
- правильно и сбалансировано питаться;
- избегать стрессов;
- принимать медикаменты только по предписанию врача;
- своевременно становиться на учёт и не пропускать посещение акушера-гинеколога.
Единственной мерой профилактики подобного недуга у взрослых является ликвидация тех заболеваний, которые могут привести к появлению пилороспазма. Для этого необходимо несколько раз в год проходить обследование у гастроэнтеролога.
Прогноз пилоростеноза у детей зачастую благоприятный, у взрослых – полностью зависит от того, что послужило источником такой патологии.
Похожие материалы
Дивертикулы пищевода – патологический процесс, который характеризуется деформированием стенки пищевода и выпячиванием всех её слоёв в виде мешочка в сторону средостения. В медицинской литературе дивертикул пищевода также имеет ещё одно название – эзофагеальный дивертикул. В гастроэнтерологии на долю именно такой локализации мешковидного выпячивания приходится около сорока процентов случаев. Чаще всего патология диагностируется у представителей мужского пола, которые перешагнули пятидесятилетний рубеж. Но также стоит отметить, что обычно у таких лиц имеется один или несколько предрасполагающих факторов — язвенная болезнь желудка, холецистит и прочие. Код по МКБ 10 – приобретённый тип K22.5, дивертикул пищевода — Q39.6.
Дистальный эзофагит – патологическое состояние, которое характеризуется прогрессированием воспалительного процесса в нижнем отделе пищеводной трубки (расположенном ближе к желудку). Такое заболевание может протекать как в острой, так и в хронической форме, и часто является не основным, а сопутствующим патологическим состоянием. Острый или хронический дистальный эзофагит может развиться у любого человека – ни возрастная категория, ни половая принадлежность роли не играют. Медицинская же статистика такова, что чаще патология прогрессирует у людей трудоспособного возраста, а также у пожилых.
Кандидозный эзофагит – патологическое состояние, при котором наблюдается поражение стенок этого органа грибками из рода Кандида. Чаще всего они поражают сначала слизистую ротовой полости (начальный отдел пищеварительной системы), после чего проникают в пищевод, где начинают активно размножаться, тем самым провоцируя проявление характерной клинической картины. Ни гендерная принадлежность, ни возрастная категория не влияет на развитие патологического состояния. Симптомы кандидозного эзофагита могут проявиться как у маленьких детей, так и взрослых людей из средней и старшей возрастной группы.
Эрозивный эзофагит – патологическое состояние, при котором поражается слизистая дистального и других отделов пищеводной трубки. Характеризуется тем, что под влиянием различных агрессивных факторов (механическое воздействие, употребление слишком горячей пищи, химических веществ, вызывающих ожог, и прочее) слизистая органа постепенно истончается, и на ней формируются эрозии.
– рубцовый стеноз привратника преимущественно язвенного генеза, из-за которого нарушается продвижение химуса в кишечник, страдает нутритивный статус, водно-электролитный баланс и гомеостаз организма. Симптоматика характеризуется рвотой и выраженным обезвоживанием, исхуданием, болями и чувством переполнения в желудке, диспепсическими явлениями. Для постановки диагноза используются клинический и биохимический анализы крови, гастрография, ЭГДС, УЗИ, ЭКГ. Лечение включает консервативные (декомпрессия желудка, интестинальное и парентеральное питание, противоязвенная терапия) и хирургические мероприятия.
Общие сведения
Пилоростеноз – органическое сужение выходного отдела желудка, формирующееся при осложненном течении язвенной болезни желудка , реже – при новообразованиях желудка. Данное патологическое состояние развивается не более чем у 15% пациентов с язвенным поражением желудка и ДПК. Среди всех осложнений ЯБЖ пилоростеноз занимает около одной трети случаев. Не менее 20% пациентов с этой патологией – мужчины. Развивается заболевание в трудоспособном и пожилом возрасте. В последние годы уровень заболеваемости стенозом пилорического отдела желудка снижается, что связано с разработкой более эффективных методов противоязвенного лечения (ингибиторы протонной помпы, блокаторы Н2-гистаминовых рецепторов). Особенно актуальна данная клиническая проблема для специалистов в области гастроэнтерологии и хирургии. Врожденный пилоростеноз является предметом изучения педиатрии и рассмотрен в соответствующем разделе сайта.

Причины пилоростеноза
Наиболее частой причиной пилоростеноза является рецидивирующая язва желудка . Повторяющийся воспалительный процесс с изъязвлением, особенно не подвергающийся лечению, сначала приводит к отеку и спазму стенок желудка, а затем к формированию рубцовых стриктур и замедлению пассажа пищи из желудка в начальные отделы тонкой кишки. В результате этого желудок переполняется пищеварительными соками и пищевыми массами, что компенсируется усилением мышечных сокращений его стенок и гиперплазией миоцитов. Постепенно развивается гипертрофия и стеноз пилорического отдела – органическая патология, характеризующаяся сужением пилоруса и замедлением опорожнения желудка. Чаще всего к такому исходу приводит каллезная либо пенетрирующая язва желудка, реже – рубцующаяся язва.
Однако компенсаторные механизмы при пилоростенозе быстро истощаются, в связи с чем вскоре желудок значительно перерастягивается и увеличивается в размерах, его перистальтика ослабевает, застойные явления усугубляются. Возникает рвота съеденной накануне пищей, ведущая к потере большого количества жидкости и электролитов, питательных веществ. При декомпенсации пилоростеноза у пациента отмечается тяжелейший метаболический алкалоз (обусловленный потерей ионов хлора), водно-электролитный дисбаланс, нарушение обмена протеинов. Потери калия ведут к слабости всех мышц, однако основное значение имеет паралич диафрагмы и миокарда, что оканчивается остановкой дыхания и сердечной деятельности. Гипокальциемия знаменуется развитием судорог.
К более редким причинам формирования пилоростеноза относят кровоточащую и прободную язву желудка либо двенадцатиперстной кишки (для них характерен послеоперационный пилоростеноз), рак желудка и другие опухоли этой локализации.
Симптомы пилоростеноза
К характерным клиническим признакам пилоростеноза относят рвоту съеденной накануне (иногда за несколько суток до этого) пищей, шум плеска на голодный желудок (что говорит о застойных явлениях), видимую через переднюю брюшную стенку перистальтику в эпигастрии. Выраженность клинических признаков зависит от стадии заболевания (компенсированная, субкомпенсированная либо декомпенсированная).
На фоне компенсированного пилоростеноза отмечается незначительное сужение выходного отдела желудка, что сопровождается умеренным усилением его сократительной способности. К привычным симптомам язвенной болезни присоединяются чувство переполнения и тяжести в желудке, отрыжка кислотой и изжога , рвота съеденной пищей с примесью кислоты, приносящая больному облегчение. В рвотных массах визуализируется пища, принятая незадолго до приступа. Потери веса не наблюдается либо она незначительная.
При переходе пилоростеноза в стадию субкомпенсации состояние пациентов ухудшается, они отмечают быстрое исхудание и усиление выраженности симптомов. Появляются жалобы на сильные боли и чувство значительной тяжести в эпигастрии, отрыжку тухлым , рвоту практически после каждого приема еды (иногда пищей, принятой много часов назад). Так как после рвоты наступает выраженное улучшение общего состояния, некоторые пациенты вызывают ее искусственно. Сразу после приема пищи перистальтика желудка усиливается, что приводит к появлению желудочных колик, урчания в животе, поноса. Также больные жалуются на постоянную слабость, усталость, сонливость, которые связаны с нарушением нутритивного статуса.
В стадии декомпенсации на первое место выходят симптомы пилоростеноза, маскируя признаки язвенной болезни, которые превалировали до этого. Пациенты кахектичны, очень ослаблены. Боли в желудке становятся не такими интенсивными, однако практически постоянно беспокоит отрыжка тухлым, многократная обильная рвота пищей , съеденной несколько дней назад. Потеря жидкости с рвотными массами приводит к выраженному обезвоживанию , которое проявляется жаждой и снижением темпа диуреза, сухостью кожи и слизистых. Для этой стадии характерна неустойчивость стула – поносы сменяются запорами. Переполненный желудок виден через переднюю стенку живота, регистрируются его судорожные неэффективные сокращения, над эпигастральной областью постоянно выслушивается шум плеска. На этой стадии пилоростеноза обычно наступают необратимые дистрофические изменения в стенке желудка, поэтому восстановить его моторно-эвакуаторную функцию чаще всего уже невозможно.
Диагностика пилоростеноза
Всем пациентам, входящим в группу риска по формированию пилоростеноза (наличие язвы пилоро-дуоденальной локализации, ушивание перфорации желудка в анамнезе, частые рецидивы язвенных дефектов, мужской пол), следует незамедлительно обратиться к гастроэнтерологу при появлении первых признаков нарушения моторной и эвакуаторной функции желудка.
Одним из наиболее простых и доступных методов диагностики моторно-эвакуаторной дисфункции желудка является УЗИ. Ультразвуковое исследование органов брюшной полости позволит визуализировать переполненный желудок, иногда – гипертрофированный мышечный слой в пилорическом отделе. Однако для установления степени тяжести и стадии заболевания нужны более точные методики, такие как гастрография и ЭГДС .
В стадии компенсации пилоростеноза при рентгенографии желудка определяется незначительное увеличение размеров полости желудка, активация его перистальтики. Возможна визуализация рубцово-язвенного стеноза пилоруса. Выведение контраста в кишечник задерживается не более чем на 12 часов. При проведении ЭГДС стеноз привратниковой зоны четко виден, в этой области возможно сужение просвета желудка до 0,5 см. Перистальтика желудка усилена, слизистая оболочка гипертрофирована.
О субкомпенсированной стадии пилоростеноза говорят следующие рентгенологические признаки: значительное увеличение полости желудка, наличие в нем содержимого даже натощак, снижение сократительной способности. На снимках видны три слоя – контрастное вещество, воздух и слизь. Опорожнение желудка занимает от 12 часов до суток. При проведении фиброгастроскопии также отмечается расширение полости желудка в сочетании с сужением пилорического отдела до 0,3 см.
Декомпенсация пилоростеноза на гастрографии проявляется значительным перерастяжением желудка, очень вялой его перистальтикой, выраженным стенозом выходных отделов. Полной эвакуации контрастного вещества не происходит даже через сутки. Эндоскопическая картина дополняется признаками атрофии слизистой оболочки.
Электрогастрография выявляет снижение сократительной способности желудка различной степени выраженности (от редких пиков активности в стадии компенсации до практически полного отсутствия моторной функции при декомпенсации пилоростеноза).
Всем пациентам с пилоростенозом требуется проведение анализа крови на уровень гемоглобина и гематокрита, электролитов и ионов, азотистых шлаков. Обязательно оценивается кислотно-основное состояние крови. Если у больного выявлена гипокалиемия – необходимо проведение ЭКГ для своевременного обнаружения нарушений сердечного ритма.
Лечение пилоростеноза
Лечение пилоростеноза осуществляется в условиях стационара и требует обязательного проведения оперативного вмешательства (желательно на ранних этапах заболевания, когда возможно полное восстановление моторной функции желудка). Консервативные мероприятия используются исключительно в целях предоперационной подготовки.
Сразу после поступления пациента в отделение осуществляется постановка гастрального зонда и эвакуация застойного содержимого желудка (так называемая декомпрессия желудка). Рекомендуется проведение зонда за уровень стеноза с последующим дробным введением пищи в тонкую кишку. Если это сделать невозможно (обычно на стадии декомпенсации критический пилоростеноз на дает возможности провести зонд в кишечник), рекомендуется перевод на полное внутривенное питание.
Медикаментозное лечение включает в себя противоязвенную терапию (ингибиторы протонной помпы, блокаторы Н2-гистаминовых рецепторов и др.), коррекцию водного баланса и уровня электролитов, кислотно-основного состояния крови, нутритивного статуса пациента (парентеральное питание). Для нормализации перистальтики желудка используют прокинетики (их назначение оправдано на стадии компенсации пилоростеноза и в послеоперационном лечении).
Хирургическое лечение пилоростеноза направлено на устранение стенотической деформации желудка и восстановление его нормального функционирования. С этой целью проводят стволовую ваготомию с наложением гастроэнтероанастомоза ; эндоскопическую ваготомию и пилоропластику; стволовую ваготомию с гастрэктомией антрального отдела желудка; гемигастрэктомию; гастроэнтеростомию. Выбор вида оперативного вмешательства зависит от стадии пилоростеноза и общего состояния пациента.
Прогноз при раннем начале лечения пилоростеноза обычно благоприятный. Возможность летального исхода ассоциируется с декомпенсированной стадией заболевания, общим истощением, пожилым возрастом. Единственным методом профилактики пилоростеноза у взрослых является раннее выявление и лечение язвенной болезни желудка и двенадцатиперстной кишки.
Пилоростеноз — коварная болезнь отдела желудка малыша, которая может появиться из-за деформации мышц желудка, сильного ожога органов пищеварительной системы кислотой либо по причине врожденного порока развития. По сути желудок ребенка, а именно привратник (отдел желудка, отвечающий за поступление пищи в кишечник), слишком узок, поэтому пища не может в должной степени попадать в толстую кишку.
Чаще всего данное заболевание проявляется на первых месяцах жизни ребенка. Лечение необходимо начинать немедленно, так как отсутствие своевременного операционного вмешательства может стать причиной гибели ребенка.
Статистика гласит, что такая болезнь чаще обнаруживается у мальчиков. Симптомы можно заметить со 2-3 недели жизни малыша. С каждым днем они проявляются все больше. Среди симптомов пилоростеноза:
- сильная рвота, в более запущенных случаях она бьет фонтаном, имеет ярко выраженный кислый запах;
- количество молока во время рвоты выходит больше, нежели употребилось ребенком;
- рвотные приступы на ранних стадиях беспокоят через 15-20 минут после приема пищи, потом этот интервал становится все больше;
- развитие затормаживается, малыш начинает резко терять вес;
- видны признаки обезвоживания;
- выделяется мало мочи;
- моча имеет мутный окрас;
- скудный стул, кроху беспокоят запоры.
Данные симптомы невозможно не заметить, главное здесь — правильно и своевременно поставить диагноз. Болезнь постоянно прогрессирует, медики разделили ее на стадии.
Стадии пилоростеноза:
- Компенсация.
Сужение привратника на этой стадии незначительное. Появляется отрыжка с кислым запахом. После кормления ребенок плачет, так как его беспокоит чувство переполненности желудка. Когда у малыша происходит рвота, у него появляется чувство облегчения. - Субкомпенсация.
Болевые ощущения на данной стадии приобретают постоянный характер. Рвота появляется через полчаса после еды, может больше. Заметно сильное похудение малыша. - Декомпенсация.
Болезнь уже долго прогрессирует. Развивается истощение, организм ребенка все больше обезвоживается. Рвотные приступы учащаются, но не приносят облегчения.
Точную стадию болезни может определить только специалист.
Причины пилоростеноза у малышей
Медики не могут назвать конкретных причин возникновения болезни у крох возрастом всего в пару дней после рождения. Возможно, главной причиной является нарушение ведущих факторов развития малыша в утробе матери:
- неблагоприятное протекание беременности, частое возникновение токсикоза;
- на первых сроках беременности мама переболела вирусной инфекцией и пилоростеноз возник как последствие;
- у женщины проблемы с эндокринной системой;
- прием матерью сильнодействующих медикаментозных препаратов (при беременности все медикаменты нежелательны).
Фактически любые нарушения протекания беременности могут вызвать такую болезнь как пилоростеноз.
Существуют две основные причины заболевания:
- Аномалия.
То есть порок, который возникает у маленького ребенка по неопределенным причинам. Врожденный пилоростеноз у детей — нечастое явление, чаще эта болезнь появляется в более взрослом возрасте. - Наследственность.
Если один из родителей болен пилоростенозом (или был болен в детском возрасте), есть риск того, что ребенок появится на свет с этим же недугом. Семейно-наследственная предрасположенность нередко является ключевым фактором.
Диагностика
Основными методами диагностики данного заболевания у детей является наблюдение и рентген
. Главный показатель — нарастающая симптоматика болезни, животик малыша становится западистым в области желудка, похожим на песочные часы.
В определении более подробной картины болезни поможет анализ крови
. При его помощи можно определить, насколько повышен гемоглобин, насколько снижено количество натрия и хлорида в организме ребенка из-за постоянных рвотных приступов.
УЗИ
также является эффективным методом диагностики, так как исследование показывает толщину стенок привратника. Обычно УЗИ делают каждый день, чтобы видеть, насколько прогрессирует болезнь и как быстро привратник становится более длинным.
Крайне важно поставить точный диагноз, так как существует болезнь под названием пилороспазм — с аналогичными симптомами, для лечения которой не требуется операционного вмешательства, что является необходимым для ликвидации стеноза.
Лечение
Пилоростеноз у детей излечим исключительно при помощи операции.
Хирург рассекает суженный во время болезни привратник, придавая ему приемлемый для приема пищи размер.
За 2-3 дня до операции маленького пациента подготавливают. Для этого в организм ребенка вводят глюкозу и другие вещества, чтобы исключить возможность обезвоживания, а также голодания. При операции медики стараются вообще не задевать детский желудок, разрезая лишь привратник слишком маленького размера.
После операционного вмешательства кроху нужно кормить сначала очень маленькими порциями, затем увеличивать количество пищи до уровня физиологических потребностей.
Возможные осложнения
Как правило, никаких последствий вовремя вылеченный пилоростеноз у грудных детей не оставляет. Однако многое зависит от того, чем была спровоцирована болезнь.
Осложнения могут быть выражены следующим образом:
- язвенные поражения слизистой желудки, так как пища в желудке долгое время оставалась непереработанной и начался процесс гниения;
- аспирационный синдром — острое респираторное расстройство, возникающее впоследствии попадания содержимого желудка в дыхательные пути;
- неравное количество микроэлементов в детском организме, что может отразиться на его развитии, а именно дисбаланс хлора, натрия, калия и кальция;
- задержка роста ребенка, если лечение было начато слишком поздно, ведь в организм все это время не попадали нужные вещества.
Профилактика пилоростеноза
Профилактическими мерами будут такие действия:
- Планирование беременности и тщательная подготовка к ней.
- Плановое посещение гинеколога на протяжении всей беременности.
- Отказ от вредных привычек.
- Здоровый образ жизни и четкое следование всем советам специалистов.
Всех факторов избежать не удастся, особенно учитывая то, что конкретные причины появления этой болезни у маленьких деток неизвестны. Однако даже обычное наблюдение за ребеночком, отслеживание его стула и поиск причин постоянного плача может помочь вовремя определить злосчастную болезнь и предотвратить всевозможные последствия.
Диагноз у ребенка – пилоростеноз
обновлено: Февраль 26, 2016
автором: admin









